|
|
4. Erkrankungen des Magen-Darm-Traktes
4.1. Erkrankungen des Periodonts
und der Zähne
4.1.1. Gingivitis und Periodontitis
Die Gingivitis in der Schwangerschaft ist eine
nicht-spezifische Entzündung der den Zähnen benachbarten
Mundschleimhaut mit einem unterschiedlich ausgeprägten entzündlichen
Infiltrat und einer Proliferation der Kapillaren. Das klinische
Bild wird durch die hormonellen Effekte auf die oralen Gewebe wesentlich
modifiziert. Auf dem Boden eines vorgeschädigten Zahnbetts
kann sich eine Periodontitis entwickeln, das heißt
eine Entzündung des Zahnhalteapparates einschließlich
der angrenzenden Gewebe.
Entzündungen der Gingiva sind während der Schwangerschaft
unter den Periodontalerkrankungen am häufigsten zu beobachten.
In zahlreichen Studien ist die Prävalenz mit 30 – 100
% höher als bei Nichtgraviden (4, 33, 46).
Ätiologie. Die hormonell bedingten Adaptationsvorgänge
in der Schwangerschaft nehmen auch den oralen Bereich nicht aus.
Im Wesentlichen ist dies auf die steigende Produktion von Östrogen
und Progesteron zurückzuführen. Die oralen Gewebe, speziell
die Gingiva, werden zunehmend auf dem Blutwege, aber auch durch
den Speichel, diesen Steroidhormonen exponiert. Darüber hinaus
finden sich spezifische Rezeptoren und auch eine Metabolisierung
dieser Hormone in der Gingiva. Die Folgen sind Veränderungen
im Bindegewebsstoffwechsel, im lokalen Immunsystem, der subgingivalen
Flora mit einer Zunahme der gramnegativen Keime sowie der gingivalen
Gefäße. Besonders ausgeprägt ist die gesteigerte
Vaskularisierung und Durchblutung (33).
Die Gingivitis ist aber nicht allein auf diese Alterationen zurückzuführen,
sondern lokal irritierende Faktoren, vor allem aber die Plaquebildungen
in unterschiedlicher Zusammensetzung sind ursächlich beteiligt.
Somit induziert die Schwangerschaft nicht die Gingivitis, sie vermag
aber präexistente Erkrankungen zu aggravieren.
Klinik. Das erste klinische Symptom einer akuten
Gingivitis ist eine Rötung und Schwellung der marginalen und
papillären Gingiva infolge hormonell bedingter Hyperämie
und Permeabilitätssteigerung mit konsekutivem Ödem und
Extravasaten von Erythrozyten (Abb. 4.1). Die entzündlichen
Veränderungen, lokalisiert oder generalisiert auftretend, zeichnen
sich durch eine vermehrte Verletzlichkeit und Blutungsneigung sowie
durch eine Neigung zur Pseudotaschenbildung aus. Als Komplikationen
kommen Periodontitiden sowie Nekrosen des Zahnfleisches zur Beobachtung.
Die Gingivitis beginnt meistens im 2. Schwangerschaftsmonat, ist
besonders ausgeprägt im 3. und 8. Monat, um dann im 9. Monat
sich allmählich zurückzubilden. Die komplette Restitution
kann bis zu einem Jahr post partum dauern (46).
Bei der akuten Gingivitis ist histologisch das entzündliche
Infiltrat überwiegend durch Granulozyten gekennzeichnet, bei
der chronischen Verlaufsform dominieren Lymphozyten und Makrophagen.

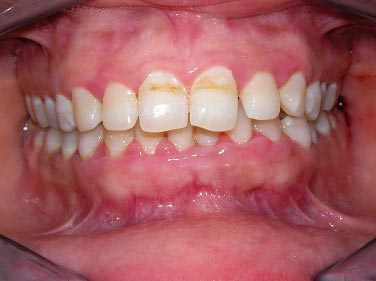
Abb. 4.1 Schwangerschaftsgingivitis bei 34-jähriger
Patientin im 4. Monat. Rötung und Schwellung der Gingiva besonders
in der Unterkieferfront. Nebenbefund: Schmelzhypoplasien an den
Zähnen 11 und 21 (Dr. U. Koberg, Minden)
Der Schweregrad der Entzündung ist von mehreren Faktoren abhängig.
Das Ausmaß der Entzündung nimmt mit dem Alter der Schwangeren
und der Anzahl der Schwangerschaften zu, besonders aber vorbestehende,
eventuell unbehandelte Gingivitiden und Parodontitiden verschlechtern
den Verlauf.
Eine besondere Risikogruppe stellen Schwangere mit Typ I-Diabetes
dar, die im Vergleich zu nichtgraviden Diabetikerinnen in der Regel
stärkere gingivale Entzündungen und periodontale Destruktionen
sowie größere Plaque-Scores aufweisen. Als Erklärung
für diese verstärkt auftretenden Periodontalerkrankungen
bei graviden Typ-I-Diabetikerinnen werden das Vorliegen von Diabetes-assoziierten
mikrovaskulären Schäden, eine reduzierte Infektabwehr
durch Störungen der Leukozytenfunktion wie der Stimulation
des Immunsystems, Alterationen im Kollagenstoffwechsel und eine
vermehrte Bildung proinflammatorischer Zytokine ursächlich
diskutiert (21).
Generell besteht bei Infektionen in der Geburtshilfe ein erhöhtes
fetales Morbiditäts- und Mortalitätsrisiko.
Dieses Faktum gilt auch für die Periodontitis, deren Bedeutung
als unabhängiger Risikofaktor für Frühgeburten mit
vermindertem Geburtsgewicht und fetaler Wachstumsretardierung zunehmend
diskutiert wird. Speziell den unbehandelten mittelschweren bis schweren
generalisierten Periodontitiden wird eine auslösende Rolle
zugeschrieben. Als pathogenetische Mechanismen werden die hämatogene
Translokation von periodontalen gramnegativen Bakterien oder deren
Bestandteile (wie Endotoxin), von inflammatorischen Zytokinen (wie
IL-1, IL-6, TNF-alpha) sowie von Prostaglandinen und Leukotrienen
als aktiven Metaboliten der Arachidonsäure zum Feten bzw. zur
Dezidua vermutet (4, 33, 41).
↑
↑ ↑
4.1.2. Schwangerschaftsgranulom
Das Schwangerschaftsgranulom (Epulis gravidarum bzw.
angiomatosa) ist eine spezielle lokalisierte Form der Gingivitis.
Da diese Läsion klinisch und histologisch identisch ist mit
den pyogenen Granulomen bei Männern und Nichtgraviden, wird
auch die Bezeichnung pyogenes Granulom in der Schwangerschaft verwendet.
Diese ödematöse lokale Hyperplasie sitzt der Gingiva oder
der Gaumenschleimhaut gestielt oder sessil auf, häufig bukkal
an den oberen Schneidezähnen. Sie wächst rasch und ist
sehr kapillarreich und neigt daher leicht zu Blutungen. Ebenso ist
sie meist schmerzlos, falls nicht eine Traumatisierung durch den
Kauakt erfolgt.
Diese gutartige Reizwucherung findet sich relativ selten (bei bis
zu 5 % der Graviden) und entsteht überwiegend im 1. oder 2.
Trimenon zumeist der ersten Schwangerschaft. Die Ätiologie
dieser Läsion ist unbekannt. Histologisch finden sich gleichzeitig
akute und chronische Entzündungsinfiltrate in einem exzessiv
vaskularisierten hyperplastischen Granulationsgewebe. Ein spezieller
Erregernachweis konnte bisher nicht geführt werden. Belagsbildungen
oder Traumata sowie die Hormonumstellung dürften an der Entstehung
des Schwangerschaftsgranuloms wesentlich beteiligt sein (4, 33).
↑
↑ ↑
4.1.3. Karies
Es liegen bisher keine Belege dafür vor, daß die Zahnkaries,
die irreversible Schädigung der Hartsubstanzen durch säurebildende
und proteolytische Bakterien, durch die Schwangerschaft mit ihrer
veränderten hormonellen Lage häufiger auftritt oder rascher
fortschreitet. Allerdings können mehrere Faktoren zu einer
kariesfördernden Konstellation beitragen. Zu nennen sind:
| - |
Häufigere Mahlzeiten und eine veränderte Komposition
der Nahrung bei unveränderter Zahn- und Mundpflege; |
| - |
weniger Mundpflege bei der Neigung zu Übelkeit und Erbrechen
bei oralen Manipulationen (z.B. Zähneputzen); Bildung von
Zahnerosionen durch Magensäure beim Erbrechen; |
| - |
Verminderung der Speichelsekretion, |
| - |
Erniedrigung des pH-Wertes und der Pufferkapazität sowie
eine Abnahme der Kalzium- und Phosphatkonzentrationen im Speichel; |
| - |
Modifikation der kariogenen Flora im Speichel mit vermehrtem
Nachweis von Streptococcus mutans im 3. Trimenon und während
der Laktation. |
Es wird diskutiert, daß Streptococcus mutans durch den mütterlichen
Speichel in den kindlichen Mund gelangen kann mit der Gefahr einer
Kolonisation der kindlichen Zähne mit diesem kariogenen Keim.
Die frühere Annahme, es komme analog zum Knochen auf dem Blutwege
zum Mineralentzug aus den Zähnen, konnte nicht belegt werden
(33, 46).
↑
↑ ↑
4.1.4. Prophylaxe und Therapie
Um die oben genannten Komplikationen zu vermeiden, sollten konsequent
Prophylaxemaßnahmen (häusliche Zahnpflege,
professionelle Zahnreinigung und Zahnsteinentfernung) bereits vor
Beginn einer Schwangerschaft durchgeführt werden. Das gleiche
gilt für bereits bestehende Periodontopathien oder eine Karies,
die unverzüglich behandelt werden müssen. Dies hat insbesondere
auch im Interesse des Feten zu erfolgen, um das erhöhte Risiko
für Frühgeburt und Mangelernährung sowie für
eine spätere Kariesentwicklung zu minimieren. Auch können
zu diesem Zeitpunkt noch Medikamente verordnet werden, die in der
Schwangerschaft eventuell als potentiell teratogen einzustufen sind.
Therapie. Beim Auftreten einer plaqueassoziierten
Gingivitis oder einer leichten Parodontitis während der Schwangerschaft
erfolgt therapeutisch die mechanische Belagentfernung bei gleichzeitiger
Beseitigung anderer irritierender Faktoren. Gleichzeitig kann zur
Unterstützung eine antiseptische Therapie mit Chlorhexidin
erfolgen. Grundsätzlich ist eine konsequente Mundhygiene erforderlich
(46).
Bei der mittelschweren bis schweren akuten und chronischen Parodontitis,
bei der nekrotisierenden Gingivitis oder Parodontitis bzw. beim
Parodontalabszeß mit ausgeprägter Allgemeinsymptomatik
sollten zur Unterstützung direkt im Anschluß an das supra-
und subgingivale Debridement systemisch Antibiotika gegeben werden
unter Beachtung der Besonderheiten in der Schwangerschaft (4, 33).
Leichte Formen des pyogenen Schwangerschaftsgranuloms bilden sich
nach der Entbindung entweder spontan zurück oder müssen
exzidiert werden. Größere, funktionell störende
oder blutende Läsionen müssen auch in der Schwangerschaft
in Lokalanästhesie entfernt werden. Hinzuweisen ist auf die
hohe Rezidivneigung.
Die Defekte bei Karies werden in üblicher Weise behandelt.
Das gleiche gilt für die Kariesfolgen wie Zahntrepanation,
endodontische Behandlung, Abszeßinzision und Zahnextraktion.
Ab dem 6. Monat sollten zahnärztliche Manipulationen in Kopftieflage
wegen der Gefahr des Vena cava-Kompressions-Syndroms vermieden werden.
Die kritische Phase für Fehlbildungen ist das 1. Trimenon.
In dieser Phase dürfen die Gabe von Medikamenten und zahnärztliche
Röntgenaufnahmen nur bei zwingender Indikation erfolgen. Die
Strahlenbelastung für den Feten ist unter Beachtung der Strahlenschutzbestimmungen
extrem gering und entspricht etwa der täglichen natürlichen
Hintergrundbelastung. Informationen über die Anwendung der
in der Zahnmedizin gebräuchlichen Pharmaka in Schwangerschaft
und Stillperiode finden sich in der entsprechenden Spezialliteratur.
↑
↑ ↑
4.2. Erkrankungen des Ösophagus
4.2.1. Gastroösophageale Refluxkrankheit
Unter einer gastroösophagealen Refluxkrankheit versteht man
ein klinisches Bild mit Sodbrennen, Luftaufstoßen, Schluckbeschwerden
oder epigastrischen Schmerzen, das durch den Reflux von Magensäure
in die Speiseröhre ausgelöst wird. Bei einem Teil der
Patienten besteht zusätzlich eine Refluxösophagitis, definiert
durch den endoskopischen Nachweis von Mukosaläsionen. Gelegentliche
Refluxbeschwerden sind physiologisch. Krankheitswert kommt den Beschwerden
erst zu, wenn sie subjektiv als gravierend empfunden werden. Hauptursache
ist ein insuffizienter Verschluß des gastroösophagealen
Übergangs. Man unterscheidet eine primäre idiopathische
Refluxkrankheit mit multifaktorieller Pathogenese von sekundären
Formen als Folge einer definierten Grunderkrankung (z.B. Zustand
nach Magenoperation, Magenausgangsstenose etc.). Die gastroösophageale
Refluxkrankheit im Rahmen der Schwangerschaft gehört ebenfalls
zu den sekundären Formen. Refluxbeschwerden gehören zu
den häufigsten gastrointestinalen Symptomen.
Sodbrennen als das Kardinalsymptom der Refluxkrankheit ist das
Symptom, über das von seiten des Gastrointestinaltrakts auch
in der Schwangerschaft am häufigsten geklagt wird. Über
die Hälfte aller Schwangeren in den westlichen Industrieländern
klagt über Sodbrennen, wobei die Prävalenz mit zunehmender
Schwangerschaft – 20 % im 1. Trimenon, 40 % im 2., über
70 % im 3. Trimenon – stetig zunimmt. Ein Viertel der Schwangeren
leidet täglich unter Sodbrennen unterschiedlicher Intensität
(7, 19, 25, 38, 52).
↑
↑ ↑
4.2.1.1. Pathogenese
Die Pathogenese der Refluxkrankheit ist multifaktoriell, zudem
ist sie in der Früh- und Spätschwangerschaft unterschiedlich.
Für die in der Frühgravidität auftretenden Beschwerden
dürften nicht nur organische, sondern insbesondere auch psychische
Komponenten gleichermaßen eine wesentliche Rolle spielen.
Ein gesicherter Faktor ist die Schädigung des Plattenepithels
beim Brechakt im Rahmen von Emesis oder Hyperemesis gravidarum.
Weiterhin konnte gezeigt werden, daß bei noch normalem Ruhedruck
des unteren Ösophagussphinkters bereits eine herabgesetzte
Stimulierbarkeit des Sphinkters gegenüber hormonalen, physiologischen
und pharmakologischen Reizen besteht. Offensichtlich geschieht dies
bereits unter dem Einfluß der ansteigenden Progesteron- und
Östrogenspiegel (25, 30, 52).
Mit Fortschreiten der Schwangerschaft nimmt der Ruhedruck
des Ösophagussphinkters, dem Hauptgaranten für
einen intakten Verschlußmechanismus, kontinuierlich und signifikant
ab, um sich postpartal innerhalb von 6 Wochen zu normalisieren (Abb.
4.2). Dies wird dem relaxierenden Effekt der Gestagene
und Östrogene zugeschrieben.

Abb. 4.2 Druckänderungen im unteren Ösophagussphinkter
(Mittelwert ± Standardabweichung) während der Schwangerschaft
und im Wochenbett. Normbereich 12 – 30 mm Hg (52)

Abb. 4.3 Druckänderungen im unteren Ösophagussphinkter
(Mittelwert ± Stan dardabweichung) unter der Einnahme von
oralen Kontrazeptiva. Normbereich 12 – 30 mm Hg (51).
Analog wurde eine Ruhedruckverminderung des Sphinkters unter kombinierter
Gabe von Östrogenen und Gestagenen (orale Kontrazeptiva) gesehen,
und selbst in der Lutealphase des Menstruationszyklus finden sich
signifikant erniedrigte Druckwerte (Abb. 4.3 und Abb. 4.4).
Besonders bei Schwangeren mit Sodbrennen vermag der untere Ösophagussphinkter
die chronische intraabdominelle Druckerhöhung wie auch akute
Drucksteigerungen nicht mehr mit einer adäquaten Tonuserhöhung
zu beantworten (23, 25, 30, 51 – 53). Zur Schwächung
des Verschlußmechanismus tragen auch Alterationen der den
Sphinkter umgebenden anatomischen Strukturen bei (Tab. 4.1).
Von besonderer Bedeutung scheint das Vorliegen einer axialen
Hiatushernie zu sein. Bei der Hiatushernie fallen Antireflux-Mechanismen
wie die intraabdominelle Lage des Sphinkters, der Hissche Winkel
und die Zwerchfellzwinge aus, darüber hinaus wird die Clearance-Funktion
des Ösophagus beeinträchtigt.

Abb. 4.4 Druckänderungen im unteren Ösophagussphinkter
(Mittelwerte) während des Menstruationszyklus von 10 gesunden
Frauen. Normbereich 12 – 30 mm Hg (53).
Tab. 4.1 Schutzmechanismen der Ösophagusschleimhaut
(in derReihenfolge der Bedeutung) und ihre Schwächung während
der Schwangerschaft

Röntgenologische und manometrische Untersuchungen
haben gezeigt, daß Schwangere nun im Vergleich zu gleichaltrigen
Nicht-Schwangeren eindeutig häufiger eine axiale Hiatushernie
aufweisen, die Inzidenz liegt zwischen 13 und 62 %. Besonders betroffen
sind ältere Schwangere und Mehrgebärende sowie der Zeitraum
der letzten Schwangerschaftsmonate (8, 19, 25). Der intraabdominelle
Druckanstieg, die Verlagerung des Magens nach links oben unter die
Zwerchfellkuppe sowie die hormonell bedingte Schwächung fast
sämtlicher mechanischer Antirefluxmechanismen bedingen diese
häufige Manifestation axialer Hiatushernien bei Schwangeren.
Ebenfalls im manometrischen Untersuchungen konnte gezeigt werden,
daß bei Schwangeren im Gegensatz zu nichtschwangeren Frauen
der intragastrische Druck erhöht, der intraösophageale
Druck aber erniedrigt ist. Diese gestörten Druckverhältnisse
begünstigen gleichfalls bei Vorliegen eines inkompetenten Sphinkters
den Reflux vom Mageninhalt in den Ösophagus (Abb. 4.5)
(8, 23, 25, 30, 50). Zur Aggravation tragen sowohl die häufig
vorliegende verzögerte Magenentleerung als auch ein pathologischer
duodenogastraler Reflux infolge Pylorusinkompetenz bei. Normalerweise
befördert der Ösophagus das refluierte Material mit Hilfe
der Peristaltik in den Magen zurück. Diese Selbstreinigungsfunktion
erleidet offenbar gleichfalls in der Schwangerschaft eine Einbuße
durch eine gestörte Peristaltik im tubulären Ösophagus.

Abb. 4.5 Fundusdruck (a), maximaler Sphinkterdruck
(b) und Ruhedruck (c) von gesunden Kontrollpersonen (C), Schwangeren
ohne Sodbrennen (NH) und Schwangeren mit Sodbrennen (H) (23).
Zusammenfassend ist somit die gerade in der Spätschwangerschaft
gehäuft auftretende Refluxkrankheit mit dem Leitsymptom des
Sodbrennens das Ergebnis einer komplexen Schwächung des gastroösophagealen
Verschlußventils. Pathogenetisch sind dabei nicht nur eine
Funktionsstörung des unteren Ösophagussphinkters, sondern
auch Alterationen der ihn umgebenden anatomischen Strukturen wie
auch Funktionsstörungen der angrenzenden Organe Ösophagus
und Magen von Bedeutung. Für diese „Fehlregulierung“
sind wesentlich die weiblichen Sexualhormone verantwortlich zu machen,
wobei dem Progesteron die führende Rolle zukommt.
↑
↑ ↑
4.2.1.2. Klinik
Als Leitsymptom der Refluxkrankheit gilt das Sodbrennen, das wahrscheinlich
durch die direkte Mukosairritation der Speiseröhre durch Säure
ausgelöst wird. Es handelt sich um einen unangenehm heißen
oder brennenden retrosternalen oder im Epigastrium lokalisierten
Schmerz, der mit saurem Geschmack in den Rachen aufsteigen kann.
Manchmal können chronischer Husten, Laryngitis, Asthma-ähnliche
Symptome Hinweise auf einen nächtlichen pathologischen Reflux
sein. Weitere Symptome der Refluxkrankheit sind Aufstoßen
von Luft, Regurgitation von Mageninhalt, Singultus, Nausea und Erbrechen.
Wie ausgeführt, setzen die Symptome bei einigen Schwangeren
bereits in der Frühschwangerschaft ein, häufig mit einer
Besserung während des 2. Trimenons. Bei den weitaus meisten
beginnt das Sodbrennen zu Beginn des 2. oder erst im letzten Schwangerschaftsdrittel,
um nicht selten bis zum Entbindungstermin an Häufigkeit und
Schwere zuzunehmen. Die frühere Auffassung, dass sich die Beschwerden
in den letzten 4 Wochen der Schwangerschaft mit dem Senken des Fundus
uteri besserten, trifft nur selten zu. Die Symptome treten am häufigsten
im Liegen, beim Bücken, Pressen und nach reichlicher Nahrungsaufnahme
auf und können durch psychischen Stress, Süßigkeiten,
Rauchen, Kaffee- oder Alkoholgenuß verstärkt werden.
Fakultative Folge eines gehäuften Refluxes ist die
Ösophagitis. Es wird angenommen, daß sich bei
1 – 2 % der Schwangeren eine erosive und ulzeröse Ösophagitis
ausbildet. Systematische endoskopische Untersuchungen zu dieser
Frage existieren bisher nicht. Bevorzugt betroffen sind ältere
Mehrgebärende, wobei nicht nur der pathologische Reflux, sondern
auch ein gehäuftes Erbrechen pathogenetisch von Bedeutung ist.
Die Symptomatik der erosiven Ösophagitis unterscheidet sich
nicht von der Refluxkrankheit ohne Ösophagitis. Selbst eine
ausgeprägte Ösophagitis kann relativ symptomarm verlaufen
(19, 25, 30).
Blutungen aus Defekten treten besonders zum Schwangerschaftsende
hin auf, sie stehen unter den Ursachen einer oberen Intestinalblutung
in der Schwangerschaft an erster Stelle (Tab. 4.2).
In der Regel sind die Blutungen leicht (cave: Fehldeutung der Blutungsanämie
als Schwangerschaftsanämie), nur in Ausnahmefällen massiv
(19, 25, 30).
Tab. 4.2 Ursachen der oberen Intestinalblutung in der Schwangerschaft
(in der Reihenfolge der Häufigkeit)

In Einzelfällen kann es komplizierend zur Ausbildung eines
Ösophagusulkus und/oder einer peptischen
Stenose kommen. Das Ösophagusulkus verursacht brennende
Retrosternalschmerzen, die in Rücken und Nacken ausstrahlen
und durch den Schluckakt verstärkt werden. Peptische Stenosen,
am Übergang vom Zylinderepithel zum Plattenepithel entstehend,
geben sich mit dem Leitsymptom der Dysphagie in der Regel erst nach
der Entbindung zu erkennen. Sie können aber auch schon während
der Schwangerschaft und so früh wie im 6. Monat zur Beobachtung
kommen (Abb. 4.6) (25). Anamnestisch findet sich
meist die Angabe einer Hyperemesis gravidarum, wahrscheinlich handelt
es sich häufig aber auch um die Verschlimmerung einer präexistenten
relativ symptomarmen Refluxerkrankung.
Übelkeit und Erbrechen als relativ häufige
Symptome der Refluxkrankheit werden am ehesten als Emesis bzw. Hyperemesis
gravidarum fehlgedeutet. Zahlreiche andere, von der Schwangerschaft
abhängige oder unabhängige Erkrankungen müssen aber
gleichfalls, insbesondere nach der 12. Schwangerschaftswoche, in
die differentialdiagnostischen Überlegungen mit einbezogen
werden (Tab. 4.3). Bedrohliche, aber seltene Komplikationen
sind die akute Inkarzeration der Hiatushernie und im Gefolge von
Übelkeit und Erbrechen die Ruptur des Ösophagus, Blutungen
aus Mallory-Weiss-Rissen und die Aspiration von Mageninhalt (25).

Abb. 4.6 Peptische Ösophagusstenose im unteren Drittel
mit prästenotischer Erweiterung. Die Aufnahme erfolgte nach
Beendigung der zweiten Schwangerschaft einer 25-jährigen Patientin
(rezidivierendes Erbrechen seit dem 2. Monat; im 8. Monat bereits
endoskopische Sicherung der Stenose 30 cm aboral).
Tab. 4.3 Differentialdiagnose von Übelkeit und Erbrechen
während der Schwangerschaft

Die Diagnose der Refluxkrankheit läßt sich in der Schwangerschaft
aufgrund des Beschwerdebildes relativ sicher vermuten. Eine Sicherung
der Diagnose durch Endoskopie oder pH-Metrie ist zunächst nicht
erforderlich. Vielmehr muß eine Schwangere, die über
Refluxsymptome klagt, unverzüglich adäquat behandelt werden.
Ein Abweichen von diesem pragmatischen Vorgehen ist angezeigt, wenn
nach 2 – 3-tägiger konsequenter Behandlung der Therapieeffekt
ungenügend bleibt oder wenn Komplikationen (Hämatemesis,
Melaena, Dysphagie etc.) auftreten oder vermutet werden.
↑
↑ ↑
4.2.1.3. Therapie
Beim Auftreten von Refluxbeschwerden, falls sie nicht nur gelegentlich
oder in milder Form auftreten, sollte eine konsequente konservative
Therapie einsetzen. Zu den allgemeinen Maßnahmen gehört
das Schlafen mit erhöhtem Oberkörper (Erhöhung des
Kopfendes um 30° durch Unterschieben von Holzklötzen unter
das Bett), das Tragen weiter, nicht beengender Kleider, das Vermeiden
des Bückens sowie der Horizontallage nach dem Essen.
Diätetisch ist eine eiweißreiche fettarme
Nahrung zu bevorzugen, die in 5 – 6 kleinen Portionen über
den Tag verteilt gegessen wird und wobei die letzte Mahlzeit spätestens
2 Stunden vor dem Zubettgehen eingenommen werden darf. Weiterhin
sind alle Faktoren zu vermeiden, die den Sphinkter weiter schwächen
oder die Refluxsymptomatik begünstigen (reichlicher Verzehr
von süßen Kohlenhydraten, Nikotin, Alkohol, Karminativa,
Kaffee, Anticholinergika, aber auch Streßsituationen) oder
den intraabdominellen Druck noch erhöhen (Obstipation, große
Mahlzeiten).
Im Rahmen der Basistherapie sollten zusätzlich zu diesen allgemeinen
Maßnahmen Antazida in normalen Dosen jeweils
eine Stunde nach jeder Mahlzeit sowie bei Auftreten von Beschwerden
gegeben werden. Zu bevorzugen sind Kombinationspräparate aus
Aluminium-, Magnesium- und Kalziumsalzen mit hoher Neutralisationskapazität.
Weiterhin können auch Filmbildner (Gaviscon)
sowie auch Sucralfat (Ulcogant) empfohlen werden.
Antazida sind keine inerten Substanzen, vielmehr lösen sie
spezifische Reaktionen im Gastrointestinaltrakt und im Mineralhaushalt
aus. Die meisten dieser Reaktionen sind Folgen einer systemischen
Wirkung, abhängig von der jeweiligen chemischen Zusammensetzung
des Antazidums wie auch von der verwendeten Dosierung. In der Regel
ist in der Schwangerschaft jedoch eine risikofreie Therapie mit
den oben genannten Präparaten möglich, ausgenommen Schwangere
mit einer Niereninsuffizienz. Die häufigsten Nebenwirkungen
der Antazida sind Stuhlunregelmäßigkeiten (Obstipation
bei aluminiumhaltigen Antazida, Diarrhoen bei magnesiumhydroxidhaltigen
Antazida) sowie Interaktionen mit anderen Substanzen.
Einen guten therapeutischen Effekt, insbesondere bei begleitender
Übelkeit, haben auch motilitätswirksame Substanzen
wie Metoclopramid, Bromoprid und Domperidon. Diese Pharmaka supprimieren
das Brechzentrum im Hirnstamm, erhöhen selektiv den Druck des
unteren Ösophagussphinkters und steigern die gastrointestinale
Motilität von Ösophagus, Magen und Dünndarm. Obwohl
bei diesen Substanzen, von denen mit Metoclopramid die meisten Erfahrungen
vorliegen, bisher weder im Tierversuch noch für den Menschen
embryotoxische, teratogene und mutagene Wirkungen nachgewiesen werden
konnten, empfiehlt es sich dennoch, sie im ersten Trimenon nur unter
strengen Gesichtspunkten zu verabreichen.
Dasselbe gilt für die Gabe von H2-Rezeptor-Antagonisten
und von Protonenpumpenhemmern. Auch in der Schwangerschaft
sind diese potenten Inhibitoren der Magensäuresekretion am
wirksamsten. Da jedoch bisher nur begrenzte Erfahrungen in der Schwangerschaft
vorliegen und keine systematischen Studien existieren, sollten diese
Substanzen nur in schweren und sonst therapierefraktären Problemfällen
verordnet werden. Alle Substanzen passieren die Plazenta und sind
auch in Spuren in der Muttermilch nachzuweisen, jedoch haben sich
embryotoxische oder teratogene Wirkungen in der Schwangerschaft
bisher nicht erkennen lassen. Grundsätzlich sollten bei gegebener
Indikation diejenigen Substanzen bevorzugt werden, die am längsten
eingeführt sind und bei denen deshalb Nebenwirkungen am ehesten
gesehen worden wären (z.B. Cimitidin, Ranitidin und Omeprazol)
(11, 19, 25, 26, 30).
Außerhalb der Schwangerschaft sind Protonenpumpenhemmer (PPI)
Mittel der Wahl, da nur sie einen Anstieg des intraösophagealen
pH über 4 über mindestens 16 Stunden als Voraussetzung
für eine Abheilung der Läsionen garantieren. Entsprechend
wurde die früher propagierte Step-up-Therapie,
bei der mit weniger wirksamen Medikamenten beginnend die Säurehemmung
stufenweise verstärkt wurde (Antazida, Prokinetika, Sucralfat,
H2-Blocker, PPI), verlassen zugunsten der Step-down-Therapie.
Hier beginnt die Therapie mit einer hohen Dosis von PPI. Dadurch
werden Symptome rascher beseitigt und Läsionen schneller zur
Abheilung gebracht als bei der umgekehrten Strategie. Anschließend
muß die individuelle Erhaltungsdosis ermittelt werden. In
der Schwangerschaft ist allerdings eine solche Vorgehensweise nicht
erlaubt, hier hat nach wie vor das Step-up-Prinzip Gültigkeit.
Die Refluxkrankheit in der Schwangerschaft, ob mit oder ohne Ösophagitis,
läßt sich mit den oben beschriebenen konservativen Maßnahmen
in fast allen Fällen gut beherrschen. Nur bei lebensbedrohenden
Zwischenfällen (massive Blutung, Perforation, hochgradige Stenose)
ist eine endoskopische oder operative Intervention
zu erwägen. Nur in Einzelfällen kann in der Spätschwangerschaft
bei lebensfähigem Kind bei Vorliegen heftigster Refluxbeschwerden
trotz Therapie die Geburtseinleitung gerechtfertigt sein. Insgesamt
beeinflußt die unkompliziert verlaufende Refluxkrankheit den
Schwangerschaftsverlauf oder die kindliche Prognose nicht. Nach
Beendigung der Schwangerschaft pflegen die Refluxbeschwerden mit
dem Sistieren der hormonellen Schwächung der Antirefluxmechanismen
und dem Wegfall der intraabdominellen Drucksteigerung in der Regel
spontan zu verschwinden. Insgesamt ist die Langzeitprognose der
Refluxkrankheit, die sich während der Schwangerschaft manifestiert,
als günstig anzusehen.
↑
↑ ↑
4.2.2. Sonstige Ösophaguserkrankungen
Auf einige Komplikationen von seiten der Speiseröhre wie Blutungen
aus erosiven und ulzerösen Läsionen, Mallory-Weiss-Syndrom,
peptische Ösophagusstenose, emetogene Ruptur des Ösophagus
und Inkarzeration der Hiatushernie wurde oben bereits hingewiesen.
Das Syndrom der portalen Hypertension und die Blutung aus Ösophagusvarizen
werden in Kap. 1.2.8. und 1.2.9. besprochen.
Tumoren, Infektionen, Divertikel, Verätzungen, primäre
Ösophagusmotilitätsstörungen wie diffuser
Ösophagusspasmus oder hyperkontraktiler Ösophagus, Multisystemerkrankungen
mit Beteiligung der glatten Muskulatur bzw. des autonomen Nervensystems
(z.B. Sklerodermie, Diabetes mellitus) spielen in der Schwangerschaft
keine besondere Rolle, so daß hier auf die entsprechende Fachliteratur
verwiesen werden kann. Leitsymptome einer jeden organischen und
funktionellen Speiseröhrenerkrankung sind Sodbrennen, Dysphagie
und Thoraxschmerzen, wobei diese Symptome isoliert oder auch kombiniert
auftreten können.
Abschließend sei auf zwei Krankheitsbilder hingewiesen, die
auch in der Schwangerschaft klinische Aktualität gewinnen können.
Eine ganze Reihe von Medikamenten können, wenn sie mit zu
wenig Wasser eingenommen werden, im Ösophagus stecken bleiben
und Schleimhautläsionen bis hin zu akuten Ulzera mit der Gefahr
von Perforation und Striktur induzieren. Überwiegend handelt
es sich um Antibiotika, aber auch nichtsteroidale Antiphlogistika,
Kaliumchlorid, Eisensulfat, Ascorbinsäure, Theophyllin können
zu diesen Schäden führen. Zur Verhütung der Pillenösophagitis
sollten Tabletten in aufrechter Position mit mindestens
140 ml Wasser eingenommen werden. Medikamentös induzierte Ösophagusulzera
heilen ohne spezielle Therapie innerhalb weniger Wochen ab.
Die Achalasie ist eine primäre Motilitätsstörung
des Ösophagus unklarer Ätiologie, die sich durch einen
Verlust der geordneten Peristaltik in der tubulären Speiseröhre
und eine Relaxationsstörung des unteren Ösophagussphinkters
auszeichnet. Diese seltene Erkrankung kann in jedem Lebensalter
auftreten mit einem Häufigkeitsgipfel zwischen dem 30. und
60. Lebensjahr. Beide Geschlechter sind gleich häufig betroffen.
Leitsymptom und meistens auch Erstsymptom ist die Dysphagie bei
festen, aber auch flüssigen Speisen, aktive und nachfolgend
passive Regurgitation treten später hinzu. Hand in Hand mit
der Dysphagie und der Regurgitation geht eine Gewichtsabnahme, die
in kurzer Zeit durchaus stärkere Ausmaße annehmen und
die insbesondere das Leben von Mutter und Kind gefährden kann.
In wie außerhalb der Schwangerschaft können diese Beschwerden
kontinuierlich, aber auch intermittierend vorhanden sein. Im Einzelfall
ist daher nicht vorhersehbar, ob die Erkrankung in der Schwangerschaft
relativ symptomlos verläuft oder ob es zur Zunahme der Symptomatik
und zur Verschlechterung des mütterlichen Gesundheitszustandes
kommt. Die Diagnose läßt sich auch in der Schwangerschaft
mit Hilfe von Anamnese und Endoskopie, nur in Zweifelsfällen
ergänzt durch Röntgenuntersuchungen und Manometrie relativ
sicher stellen. In der Behandlung sollte auf medikamentöse
Therapieversuche verzichtet werden. Die Therapie der Wahl stellt
die pneumatische Dilatation dar. Aspiration und Pneumonie sind eine
wichtige Komplikation der Regurgitation, die besonders unter der
Geburt, vor allem bei schmerzlindernden und sedierenden Maßnahmen,
gegeben ist. Es empfiehlt sich daher, bei Beginn der Wehentätigkeit
den Ösophagus über einen dicken Magenschlauch zu entleeren
(25).
↑
↑ ↑
4.2.3. Anhang: Nausea, Emesis und Hyperemesis
gravidarum
Übelkeit, Appetitstörungen und
Erbrechen sind häufige Symptome in der Frühschwangerschaft
mit einer Inzidenz der Nausea von 50 – 90 % bzw. der Emesis
von 25 – 55 %. Alter (geringeres Risiko mit zunehmendem Alter),
Übergewicht, Essstörungen, Allergien, erste Schwangerschaft,
Zwillingsschwangerschaften, ökonomischer Status sowie demografische
Faktoren beeinflussen die Inzidenz. In der Regel sind Nausea und
Emesis selbstlimitierend. Nach einem Beginn gewöhnlich in der
6. Woche mit einem Maximum zwischen 10. und 16. Schwangerschaftswoche
sistieren die Beschwerden vor der 20. Schwangerschaftswoche. Das
leichte morgendliche Erbrechen (seltener ist eine kontinuierliche
oder abendliche Symptomatik) in der Frühschwangerschaft bedarf
keiner speziellen Therapie. Eine Ernährungsberatung und die
Gabe von Vitamin B6 können hilfreich sein. Mütterliche
und kindliche Prognose erfahren keine Beeinflussung.
Bei 0,1 – 2 % der Schwangeren entwickelt sich jedoch das
Krankheitsbild der Hyperemesis gravidarum, wobei
die Grenzen zwischen Emesis und Hyperemesis gravidarum fließend
sind. Die Hyperemesis ist durch persistierendes (mehr als fünfmaliges),
nicht stillbares Erbrechen sowie Übelkeit während des
gesamten Tages und der Nacht gekennzeichnet, unabhängig von
der Nahrungsaufnahme. Im Gegensatz zur Emesis gilt die Hyperemesis
als pathologisch und somit als therapiebedürftig. In den letzten
Jahrzehnten hat aus noch nicht geklärten Gründen die Häufigkeit
dieser Erkrankung deutlich abgenommen. Ein befriedigendes Erklärungsmodell
der Ätiologie existiert bislang nicht. Man geht von einem multifaktoriellen
Geschehen aus, die Beteiligung von hormonalen (erhöhte HCG-Konzentrationen,
erhöhte Östrogen- und Progesteronspiegel, erniedrigte
Motilinspiegel, primäre und sekundäre Nebennierenrindeninsuffizienz,
gesteigerte Schilddrüsenfunktion), immunologischen und psychosozialen
Faktoren wird ebenso diskutiert wie eine erhöhte bakterielle
Besiedelungsquote des Magens mit Helicobacter pylori und Motilitätsstörungen
des Magens.
Im Rahmen des vielfachen Erbrechens kann sich ein klinisches Bild
entwickeln, das durch Gewichtsabnahme (mehr als 5 %), Dehydratation,
Störungen des Elektrolyt- und Säure-Basen-Haushalts sowie
ein ausgeprägtes Krankheitsgefühl gekennzeichnet ist.
Bei weiterem Fortschreiten entwickeln sich infolge abnehmender Vitamin-B-Spiegel
Muskelschwäche und Polyneuropathie. Funktionelle Leberstörungen
finden sich gewöhnlich nur bei schwereren Verläufen, die
der Hospitalisierung bedürfen. Sie sind nur leichter Natur
und normalisieren sich bei entsprechender Behandlung rasch. Das
Bilirubin im Serum bleibt meist unter 4 mg/dl, wobei direktes und
indirektes Bilirubin als Folge der Inanition erhöht sind. Die
Aktivitäten der Transaminasen im Serum sind normal bis leicht
erhöht, selten werden Werte bis 100 oder 200 U/l erreicht (Abb.
4.7).

Abb. 4.7 Verlauf des Bilirubins und der Enzymaktivitäten
im Serum bei Hyperemesis gravidarum (22-jährige Patientin,
10. Woche, Erbrechen seit 1 Woche). Metabolische Alkalose, Hypokaliämie,
Hypochloridämie, Exsikkose. Besserung sämtlicher Symptome
unter parenteraler Ernährung und Substitution von Wasser und
Elektrolyten sowie antiemetischer Therapie.
Histologisch findet sich nur vereinzelt eine vorwiegend zentroazinäre
Leberzellverfettung, was auf die Mangelernährung zurückzuführen
ist. Differentialdiagnostisch sind hier ein mit Erbrechen einhergehendes
Prodromalstadium einer akuten Virushepatitis sowie medikamentös-toxische
Leberschäden abzugrenzen (s. Kap. 1.2.1.1.).
Als mögliche Komplikationen bei unzureichender Therapie treten
schließlich zentrale Symptome wie Temperaturanstieg, Somnolenz,
Delir auf und als Extremfolge die Wernicke-Enzephalopathie.
Die Ausbildung einer Refluxkrankheit der Speiseröhre eventuell
mit erosiver oder ulzeröser Ösophagitis, das Mallory-Weiss-Syndrom
(Blutungen aus Schleimhauteinrissen des Ösophagus), die Ruptur
des Ösophagus (Boerhaave-Syndrom), die Aspiration von Mageninhalt
bei bewusstseinsgetrübten Schwangeren, die Bildung von Zahnschmelzerosionen
durch das Magensekret, insbesondere die Salzsäure, können
weitere Folgen des rezidivierenden Erbrechens sein.
Die Behandlung der Hyperemesis gravidarum durch die Kombination
somatischer und psychosomatischer Maßnahmen führt fast
immer zur Besserung oder zur Behebung der Symptomatik.
Des Weiteren ist eine antiemetische Therapie erforderlich. Mittel
der Wahl als Antiemetika sind H1-Antihistaminika (z. B. Dimenhydrinat,
Meclozin). Bei schweren Formen der Hyperemesis eignen sich auch
Phenothiazine (z. B. Chlorpromazin, Promethazin, Triflupromazin).
Motilitätsregulatoren weisen neben einem unterschiedlich starken
zentralen antiemetischen Effekt prokinetische Wirkungen auf den
oberen Gastrointestinaltrakt auf. Sie finden daher – wie oben
beschrieben – bevorzugt als Antiemetikum im Rahmen der gastroösophagealen
Refluxkrankheit im 2. und 3. Trimenon Anwendung. In der Frühschwangerschaft
sind dagegen die Erfahrungen begrenzt. Am besten untersucht und
damit Mittel der Wahl ist das in die Gruppe der substituierten Benzamide
gehörende Metroclopramid. Bei den 5-HT3-Rezeptorantagonisten
(z. B. Ondansetron) handelt es sich um hochselektive Substanzen,
die eine kompetitive Blockade peripherer und zentraler 5-HT3-Rezeptoren
bewirken. Obwohl für die Hyperemesis gravidarum einzelne kasuistische
positive Befunde existieren, sollten im Augenblick jedoch diese
Antagonisten (unter Bevorzugung des Ondansetron als der ältesten
1991 in Deutschland eingeführten Substanz) nur bei klinisch
schweren Verläufen und bei Versagen der oben genannten bisher
besser untersuchten Antiemetika eingesetzt werden. In derartigen
Fällen ist auch der Versuch einer kurzzeitigen Gabe von Methylprednisolon
gerechtfertigt.
Dagegen empfiehlt sich Zurückhaltung trotz Einzelfallberichten
über die erfolgreiche Anwendung von Thyreostatika oder Protonenpumpenhemmern
(z. B. Omeprazol) beim therapieresistenten Schwangerschaftserbrechen
aufgrund unzureichender Erfahrungen (26).
Differentialdiagnostisch müssen bei persistierendem Erbrechen
grundsätzlich neben der Hyperemesis gravidarum auch andere
gastrointestinale wie extraintestinale Ursachen ausgeschlossen werden.
Gerade in den späteren Phasen der Schwangerschaft sind Übelkeit
und Erbrechen häufig die Vorboten zahlreicher anderer, von
der Schwangerschaft abhängiger oder unabhängiger Erkrankungen
(Tab. 4.3).
↑
↑ ↑
4.3. Erkrankungen des Magens
Von den Erkrankungen des Magens sollen hier nur jene besprochen
werden, deren klinisches Bild im Verlauf der Schwangerschaft eine
Änderung erfahren kann. Das trifft insbesondere für die
Ulkuskrankheit und nur in geringem Maße für das Magenkarzinom
zu. Damit wird natürlich nicht ausgeschlossen, dass auch andere
Magenerkrankungen mit einer Schwangerschaft zusammentreffen können.
So wurden einzelne Fälle von akuter Magenatonie, Volvulus und
spontaner Ruptur des Magens beobachtet und ebenso wurde über
komplikationslose Schwangerschaftsverläufe nach Magenresektionen
oder Gastrektomie berichtet.
↑
↑ ↑
4.3.1. Physiologische Veränderungen
Während der Schwangerschaft kommt es zunehmend zur Verdrängung
des Magens nach links oben unter das Zwerchfell und zur Drehung
um seine Achse um 45°. Der vergrößerte Uterus erhöht
den intraabdominellen Druck und komprimiert den Magen, so daß
es zum intragastralen Druckanstieg kommen kann. Minderung von Tonus
und Motilität sind die Folge einer hormonell bedingten generellen
Relaxation der glatten Muskulatur. Allerdings erfährt die Magenentleerung
durch diese Veränderungen keine Verzögerung, wie früher
anhand von röntgenologischen Untersuchungen angenommen wurde.
Auch in der Lutealphase des normalen Zyklus findet sich keine Änderung
der Magenentleerung. Eine solche findet sich jedoch häufig
bei Schwangeren mit Sodbrennen und zählt damit zu den pathogenetischen
Mechanismen der Refluxerkrankung. Eine verzögerte Magenentleerung
besteht regelmäßig unter der Geburt, wobei ursächlich
eine stressinduzierte Hemmung von Tonus und Motilität, eventuell
ein zusätzlicher Einfluss von Analgetika und Narkotika diskutiert
werden. Dieser Befund erklärt zum Teil das erhöhte Aspirationsrisiko
von flüssigem Mageninhalt unter der Geburt (Mendelson-Syndrom).
Seit über 60 Jahren ist das Verhalten der Magensekretion
während Zyklus, Schwangerschaft und Laktation sowie nach exogener
Zufuhr von Sexualhormonen Gegenstand von Studien an verschiedenen
Tierspezies unter den unterschiedlichsten Bedingungen wie auch beim
Menschen. Die am Tier erhobenen Befunde divergieren als Hinweis
auf speziesbedingte Unterschiede deutlich und können nicht
auf den Menschen übertragen werden. Aber auch bei Schwangeren
ergab die Überprüfung der Magensekretion mit unterschiedlicher
Methodik bisher widersprüchliche Ergebnisse: Einerseits fand
sich keine Änderung der Säure- und Pepsinsekretion, andererseits
wurde eine Sekretionsminderung beobachtet. Als mögliche Ursachen
für eine herabgesetzte Säuresekretion in der Schwangerschaft
werden verschiedene Faktoren diskutiert wie die erhöhten Spiegel
der weiblichen Sexualhormone, eine Verminderung der Gastrin-Spiegel,
eine vermehrte Bildung von EGF (epidermal growth factor) sowie ein
Anstieg der Plasmaspiegel der in der Plazenta synthetisierten Histaminase.
Letztere könnte eine gesteigerte Metabolisierung des mütterlichen
Histamins zur Folge haben. Den weiblichen Sexualhormonen wird darüber
hinaus eine Stimulierung der Schleimproduktion der Magenschleimhaut
zugeschrieben. Es gibt wenige Hinweise, daß sich im letzten
Schwangerschaftsdrittel die Säuresekretion wieder normalisiert,
ja sogar während der Laktationsphase erhöht sein kann.
Analog erreichen auch die Pepsinspiegel im Serum in diesem Zeitraum
die Werte wie bei Nichtschwangeren und ebenso steigt der Gastrin-Spiegel
im 3. Trimenon bis zu einem Peak kurz nach der Entbindung an. Da
sich jedoch auch hohe Gastrin-Spiegel im Nabelschnurblut finden,
könnte fetales Gastrin, in den mütterlichen Organismus
übertretend, zu dieser Erhöhung beitragen. Als weitere
Ursachen für die Normalisierung oder sogar Erhöhung der
Säuresekretion in der fortgeschrittenen Schwangerschaft bzw.
im Wochenbett ließen sich eine Histaminzunahme durch eine
fetale Histaminsekretion bzw. eine erhöhte Kalziumresorption
während der Laktation anführen. Tierexperimentell fanden
sich zumindest derartige Hinweise.
Die Sekretion des Intrinsic-Faktors im Magen scheint während
der Schwangerschaft ungestört zu sein, was sich aus einer normalen
Resorption des Vitamin B12-Intrinsic-Faktor-Komplex im unteren Ileum
schließen läßt (14, 19, 25).
↑
↑ ↑
4.3.2. Ulkuskrankheit
Das peptische Ulkus des Magens und des Duodenums ist ein umschriebener
Substanzdefekt, der die Muscularis mucosae durchbricht. Im Gegensatz
dazu sind akute Erosionen auf die Mukosa beschränkt.
Nach einer Häufung zu Beginn des 20. Jahrhunderts nimmt die
Ulkuskrankheit seit den 60er Jahren wieder an Häufigkeit ab.
Etwa jeder 10. Erwachsene entwickelt im Laufe seines Lebens ein
Magen- oder Duodenalgeschwür. Das Zwölffingerdarmgeschwür
ist mit einer Prävalenz von etwa 1,4 % häufiger als das
Magengeschwür mit 0,3 %. Männer und Frauen sind beim Magengeschwür
gleichermaßen betroffen, das Alter liegt meist zwischen 50
– 60 Jahren. Dagegen sind beim Ulcus duodeni die Patienten
bis zu 20 Jahre jünger und Männer sind häufiger als
Frauen betroffen.
↑
↑ ↑
4.3.2.1. Pathogenese
Die Ulkuspathogenese ist multifaktoriell, von Bedeutung ist ein
gestörtes Gleichgewicht zwischen defensiven (Bicarbonat-Sekretion,
Schleimproduktion, Prostaglandin-Synthese, epitheliale Regeneration,
ungestörte Durchblutung) und aggressiven Faktoren (Helicobacter
pylori-Infektion, Salzsäure etc.). Die wichtigsten Faktoren
in der Pathogenese sind die gastrale Infektion mit Helicobacter
pylori und die Einnahme von nichtsteroidalen Antiphlogistika. Die
Magensäure spielt eine zentrale Rolle in der Zerstörung
der Schleimhaut.
Die Prävalenz peptischer Ulzera, speziell
des Duodenalulkus, ist nicht nur bei Frauen zur Zeit der Geschlechtsreife
niedriger als bei Männern, sondern es ist auch weithin akzeptiert,
dass während der Schwangerschaft die Prävalenz einer Ulkuserkrankung
erniedrigt ist. Dies basiert auf Fallberichten, retrospektiven klinischen
Serien und auf mehreren epidemiologischen Studien, aber auch auf
einigen wenigen endoskopischen Studien, die einen Rückgang
der peptischen Ulkuskrankheit und eine Zunahme der gastroösophagealen
Refluxkrankheit belegen (14, 19, 25, 32).
Die Faktoren, die im Einzelnen die Aktivität des Ulkusleidens
in der Gravidität hemmen, sind noch nicht ausreichend bekannt.
Die oben beschriebenen Befunde einer Hemmung der Säuresekretion
und/oder einer Steigerung der Mukussekretion sind widersprüchlich,
so daß diese Effekte allein nicht zur Erklärung ausreichen.
Das Vermeiden ulzerogener Noxen wie Nikotin, Alkohol und Medikamente,
aber auch ein verminderter psychologischer Streß, vermehrte
körperliche Ruhe und eine ausgewogenere Kost während der
Schwangerschaft werden als weitere protektive Faktoren
diskutiert.
Welche Bedeutung eine gastrale Infektion mit Helicobacter
pylori in der Pathogenese peptischer Läsionen bei
Schwangeren hat, ist nicht bekannt. Fast immer ist eine derartige
Infektion mit einer chronischen Gastritis vergesellschaftet, allerdings
entwickeln nur 10 – 15 % der infizierten Individuen eine peptische
Ulkuskrankheit. Die Infektion mit Helicobacter pylori ist zusammen
mit der Karies die weltweit häufigste chronische Infektion
des Menschen. Die Prävalenz zeigt erhebliche regionale Unterschiede
und hängt in hohem Maße von den sozioökonomischen
Bedingungen ab. Daher finden sich Durchseuchungsraten in den Entwicklungsländern
zum Teil von über 90 % bereits im Kindesalter. In den westlichen
Industriestaaten ist die Seroprävalenz altersabhängig,
20 – 30 % der 20-jährigen und 50 –60% der über
50-jährigen sind infiziert. Vergleichbare Infektionsraten finden
sich auch bei Schwangeren in Australien und Westeuropa mit durchschnittlich
20 bzw. 23 %. In einer belgischen Studie betrug die Prävalenz
bei Schwangeren zwischen 26 und 30 Jahren etwa 20 %, bei Schwangeren
zwischen 36 und 40 Jahren 31 %. Ähnliche Raten fanden sich
bei der vergleichbaren männlichen Bevölkerung. Die Seroprävalenz
scheint durch eine Schwangerschaft nicht beeinflußt zu werden.
Obwohl Männer häufiger als Frauen ein peptisches Ulkus
entwickeln, sind sie, wie epidemiologische Studien zeigen, nicht
häufiger infiziert als Frauen. Der Übertragungsmodus ist
bislang unklar. Der Nachweis von Helicobacter pylori im Trinkwasser
weist auf einen fäkal-oralen Übertragungsweg hin, der
Nachweis in Zahnplaques auf den oral-oralen Weg. Innerhalb von Familien
sind sowohl horizontale als auch vertikale Übertragungswege
möglich, wobei die Kinder im Zentrum der Infektionskette stehen.
Die Produktion von Virulenzfaktoren erlaubt es den Helicobacter
pylori-Stämmen die Magenschleimhaut zu kolonisieren und eine
Gastritis zu induzieren, wobei gleichzeitig die Abwehrmechanismen
des Wirts umgangen werden. Der histologische Nachweis einer chronisch-aktiven
Gastritis ist der zelluläre Ausdruck der Immunantwort. Ein
Mechanismus, der das Überleben des Feten im mütterlichen
Organismus erklärt, ist die Entwicklung einer immunologischen
Toleranz der Mutter gegenüber dem werdenden Kind. Um diese
Toleranz zu gewährleisten, sind Schwangere wie auch der Fetus
in der Lage, Immunreaktionen zu verhindern oder zu modulieren. Den
weiblichen Geschlechtshormonen kommt dabei eine gewichtige Rolle
als Immunmodulatoren zu. Eine attraktive, bisher aber nicht untersuchte
Hypothese ist, daß im Rahmen der verschiedenen Immunreaktionen,
die das Überleben des Embryos ermöglichen, es zu einer
Suppression der Helicobacter pylori- Infektion kommen kann. Dies
wäre dann ein weiterer transienter protektiver Mechanismus
(9, 14, 16, 43).
↑
↑ ↑
4.3.2.2. Klinik
Wie ausgeführt, ist auf der Basis klinischer Erfahrungen seit
langem bekannt, daß die Gravidität keinen Risikofaktor
darstellt, sondern vielmehr günstige Wirkungen auf die Ulkuskrankheit
hat. Vorbestehende Ulzera werden symptomlos und heilen ab, neu entstehende
werden nur sehr selten beobachtet und die Inzidenz an Komplikationen
wird geringer. Gegen Ende der Schwangerschaft schwindet allerdings
dieser protektive Effekt: Ulkusbeschwerden, die nicht vollständig
abgeklungen waren, verstärken sich im letzten Trimenon, insbesondere
kurz vor oder nach der Entbindung. Die günstige Wirkung auf
die Ulkuskrankheit endet mit der Geburt, innerhalb von 2 Jahren
post partum ist bei der überwiegenden Zahl der Ulkuspatientinnen
wieder mit einem Rezidiv zu rechnen (14, 19, 25, 32). Allerdings
bietet die Schwangerschaft keinen absoluten Schutz vor dem Auftreten
einer peptischen Läsion. Das gilt sowohl für die chronische
Ulkuskrankheit als auch insbesondere für akute Stressläsionen,
die zu jedem Zeitpunkt der Schwangerschaft bei schweren Erkrankungen
(z.B. Sepsis, Präeklampsie, akute Schwangerschaftsfettleber)
auftreten können. Häufig kommt es ohne lokale Vorbeschwerden
zu akuten Blutungen aus derartigen akuten Erosionen und akuten Ulzera,
aber auch Perforationen können sich entwickeln (19, 25).
Für einen möglichen protektiven Effekt der Schwangerschaft
könnten auch Beobachtungen an allerdings nur zwei Graviden
mit Zollinger-Ellison-Syndrom (Gastrin-produzierende Tumoren mit
multiplen Ulzera) sprechen, bei denen die Erkrankung wenige Tage
nach der Entbindung exazerbierte (39).
Die Symptomatologie des Ulkusleidens entspricht
der bei Nichtschwangeren. Aber auch hier dürften Ulzera mit
uncharakteristischen oder sogar ohne Beschwerden einhergehen, so
daß sich Diagnose und Differentialdiagnose des Ulkus gerade
in der Schwangerschaft, in der epigastrische Beschwerden und Schmerzen
auch ohne Magenerkrankung nicht gerade selten sind, schwierig gestalten.
Dyspeptische Beschwerden werden meist als Emesis oder Hyperemesis
gravidarum, als Reizmagen-Reizdarm-Syndrom, als gastroösophageale
Refluxkrankheit oder auch bei nicht erkannter Blutung als Schwangerschaftsanämie
interpretiert, ein Ulkus jedoch nicht in Betracht gezogen.
Bei persistierenden dyspeptischen Beschwerden, Übelkeit, Erbrechen
(zur Differentialdiagnose der Hämatemesis s. Tab. 4.2),
Rückenschmerzen oder ausgeprägter Anämie kann die
zeitgerechte Diagnose eines peptischen Ulkus zu
jedem Zeitpunkt der Schwangerschaft komplikationslos durch die Endoskopie
auch ohne Prämedikation und Sedierung durchgeführt werden.
Zahlreiche Studien belegen, daß endoskopische Verfahren für
Mutter und Feten ein sicheres Vorgehen sind (12). Differentialdiagnostisch
zu erwägende Erkrankungen der Nachbarorgane wie Cholelithiasis
und akute Pankreatitis sind durch Labor und sonographische Untersuchungen
auszuschließen. Röntgenuntersuchungen sind in der Regel
verzichtbar.
Besonders schwierig ist das Erkennen von Blutungen, Perforationen
und Penetrationen als Komplikationen der peptischen
Läsionen kurz vor dem Ende der Schwangerschaft, unter der Geburt
und im Wochenbett. Dies ist durch die bis dahin oft leere Anamnese,
durch die plötzlich einsetzende Symptomatik bedingt, die durch
die topographisch-anatomischen Besonderheiten in der Schwangerschaft
Änderungen erfahren und die unter der Geburt durch die Wehentätigkeit
maskiert werden kann.
Entsprechend hoch ist die Zahl der Fehldiagnosen
wie:
- Plazenta praevia,
- akute Pankreatitis,
- Nephrolithiasis,
- stielgedrehte Ovarialzyste,
- Präeklampsie,
- Mesenterialthrombose,
- vaginale statt rektale Blutung,
- Puerperalsepsis bei peritonitischen Erscheinungen im Wochenbett
und damit auch die Zahl der mütterlichen und kindlichen Todesfälle
(14, 19, 25).
Beim Auftreten von Komplikationen, eventuell im Rahmen von Zweiterkrankungen,
hängt somit die Prognose für Mutter und Kind entscheidend
vom raschen Erkennen und der adäquaten Behandlung ab. In keinem
Fall stellt aber die Ulkuskrankheit eine Indikation zur Abruptio
dar.
In den letzten Jahren finden sich aus verschiedenen Regionen mehrere
Hinweise auf einen möglichen Einfluß einer Helicobacter
pylori-Infektion auf das körperliche Wachstum im Kindesalter.
Es wird über eine Wachstumsverzögerung bei infizierten
Kindern im Alter von bis zu 16 Jahren berichtet. Möglicherweise
ist dieses Problem in Entwicklungsländern von größerer
Bedeutung, da hier mit hohem Durchseuchungsgrad die Infektion schon
sehr früh im Kleinkindesalter erworben wird, während dies
in den Industrienationen später stattfindet (43). Pathogenetisch
könnten sowohl verschiedene Virulenzfaktoren der Helicobacter
pylori-Stämme als auch wirtspezifische Faktoren eine Rolle
spielen. Darüber hinaus könnte die chronische Helicobacter
pylori-Gastritis über eine Hypo- und Achlorhydrie eine bakterielle
Überbesiedlung des Dünndarms begünstigen, was zum
klinischen Bild der Malassimilation führen kann. Eine Anämie,
chronische Durchfälle und Gewichtsverlust bewirken letztlich
eine Wachstumsverzögerung. Aufgrund dieses möglichen Zusammenhangs
zwischen Infektion einerseits und körperlicher Entwicklung
andererseits stellt sich die Frage, ob ebenfalls eine Assoziation
zwischen Helicobacter pylori-Infektion und intrauteriner Wachstumsretardierung
besteht, zumal die verschiedenen bakteriellen oder viralen Infektionen
zu den Ursachen einer derartigen Komplikation zählen. Die erste
prospektive Studie zu diesem Thema aus Australien scheint diesen
Zusammenhang zu bestätigen. Eine intrauterine Wachstumsverzögerung
war häufiger bei Helicobacter pylori-seropositiven Schwangeren
als bei seronegativen: 13,5 % versus 6 %. Sowohl diese Helicobacter
pylori-Seropositivität als auch die mütterliche Größe
und Nikotinabusus waren unabhängige Risikofaktoren für
eine intrauterine Wachstumsretardierung. Die Autoren vermuten als
pathogenetische Mechanismen eine mangelhafte Ernährung der
Schwangeren durch vermehrtes Auftreten von dyspeptischen Beschwerden,
Übelkeit oder Erbrechen infolge der Helicobacter pylori-Infektion
oder auch eine bakteriell induzierte Schädigung der plazentaren
Gefäße (16).
↑
↑ ↑
4.3.2.3. Therapie
Beim Nachweis eines Ulkus in der Schwangerschaft ist es das Ziel,
die Beschwerden zu beseitigen, die Heilung zu beschleunigen und
damit Komplikationen zu verhindern. Die Behandlung des unkomplizierten
Ulkus besteht aus Allgemeinmaßnahmen und einer medikamentösen
Therapie. Zu den allgemeinen Maßnahmen zählen
das Aufgeben des Zigarettenrauchens, die Vermeidung von Säurelockern
(Verzicht auf: Alkohol, Bohnenkaffee, starker Tee) und das Absetzen
von Medikamenten mit schleimhautschädigender Wirkung (nichtsteroidale
Antiphlogistika). Eine spezifische Ulkusdiät gibt es nicht,
vielmehr ist unter Berücksichtigung von Nahrungsmittelunverträglichkeiten
eine gemischte, vollwertige, leichtverdauliche Kost anzubieten.
Gelegentlich wird es als angenehm empfunden, die Gesamtkalorienmenge
auf 6 – 8 kleine Mahlzeiten über den Tag zu verteilen.
Eine stationäre Behandlung ist in der Regel nur beim Auftreten
von Komplikationen gerechtfertigt.
Es wird empfohlen, in der Laktationsphase bei Ulkusanamnese oder
bestehendem Ulkus vom Stillen des Kindes Abstand zu nehmen, um keine
Aktivierung der Erkrankung zu riskieren.
Zur Pharmakotherapie werden wie bei der gastroösophagealen
Refluxkrankheit im Wesentlichen säurehemmende Medikamente eingesetzt.
Antazida in der üblichen Dosierung für die Dauer von 4
– 6 Wochen sind Therapeutika der 1. Wahl. Eine Alternative
stellt das Sucralfat dar. Die Gabe von H2-Rezeptorantagonisten und
Protonenpumpenhemmern sollte auch hier auf Fälle mit kompliziertem
und/oder Antazida-refraktärem Ulkus beschränkt bleiben.
Dies gilt insbesondere beim Vorliegen eines Zollinger-Ellison-Syndroms,
hier ist eine Dauermedikation mit Protonenpumpenblockern während
der gesamten Schwangerschaft indiziert (14, 17, 22). Prostaglandin-Derivate
(Misoprostol) werden außerhalb der Schwangerschaft zur Therapie
bei medikamentös-toxischen Magenschleimhautschäden bzw.
zu deren Prophylaxe eingesetzt. In der Schwangerschaft sind diese
Substanzen jedoch kontraindiziert, da sie Kontraktionen des Uterus
bzw. Aborte hervorrufen können (14, 19, 25, 26).
Bei Nachweis von Helicobacter pylori sollte die
Eradikationsbehandlung insbesondere in den westlichen Industrienationen
mit hohem Lebens- und Hygienestandard erst nach Beendigung der Schwangerschaft
durchgeführt werden, zumal die Monotherapie mit einem Säureblocker
ausreichend effektiv ist. Die heute empfohlene Eradikationstherapie
besteht aus einem Säurehemmer und zwei Antibiotika verabreicht
für die Dauer von einer Woche. Aufgrund fehlender Erfahrungen
mit den verschiedenen Kombinationen zur Eradikationstherapie in
den ersten 4 Monaten der Schwangerschaft sind teratogene Nebenwirkungen
(z.B. Claritromycin) nicht sicher auszuschließen. Bei der
oben beschriebenen möglichen Assoziation von Helicobacter pylori-Infektion
und intrauteriner Wachstumsverzögerung, die in weiteren Studien
gesichert werden muß, stellt sich vielmehr die Frage, ob bei
Frauen im gebärfähigen Alter eine Helicobacter pylori-Infektion
erfaßt werden sollte, um eine Eradikationstherapie noch vor
dem Eintreten einer Schwangerschaft einzuleiten.
Bei einer intestinalen Blutung sollte nach endoskopischer
Sicherung der Blutungsquelle immer der Versuch der endoskopischen
Blutstillung (Unterspritzung mit verdünnter Adrenalinlösung
und/oder Fibrinkleber) gemacht werden. Die endoskopisch unstillbare
Blutung und das perforierte Ulkus, bereits der dringende Verdacht
auf ein solches Geschehen, sind Indikationen für eine sofortige
chirurgische Intervention.
↑
↑ ↑
4.3.3. Magenkarzinom
Unter den malignen Magentumoren haben die Adenokarzinome die größte
klinische Relevanz. Selten sind maligne Lymphome, Sarkome und Magenmetastasen.
Beim Magenfrühkarzinom ist die Ausdehnung auf die Mukosa und
Submukosa beschränkt, beim fortgeschrittenen Magenkarzinom
infiltriert der Tumor die Muscularis propria. Die Pathogenese ist
multifaktoriell. Genetische und diätetische Faktoren, aber
auch die Infektion mit Helicobacter pylori als unabhängigem
Risikofaktor spielen eine Rolle. Die Inzidenz zeigt beträchtliche
regionale Unterschiede, wobei weltweit die Inzidenz- und Sterberaten
in den letzten Jahrzehnten deutlich zurückgegangen sind. Wie
in den USA dürfte die Inzidenzrate bei uns derzeit bei etwa
10 Fällen pro 100.000 Menschen liegen. Männer erkranken
etwa doppelt so häufig wie Frauen im höheren Lebensalter
(über 60 Jahre), der Anteil der unter 40-jährigen beträgt
weniger als 5 %.
Diese Daten machen verständlich, daß ein Zusammentreffen
von Magenkarzinom und Schwangerschaft äußerst
selten ist. In der Literatur existieren einige hundert Fälle
einer derartigen Kombination, die teilweise jedoch nur kursorisch
aufgeführt werden (14, 25, 36, 49). Da es keine zuverlässigen
Früh- und Warnsymptome des Magenkarzinoms gibt, wird die überwiegende
Zahl erst in fortgeschritteneren Stadien diagnostisch erfaßt.
Diese späte Diagnosestellung kann in der Schwangerschaft leicht
eine weitere Verzögerung erfahren, da die beim primär
fortgeschrittenen wie auch beim Magenfrühkarzinom fast immer
vorhandenen Oberbauchbeschwerden unterschiedlicher Art und Ausmaßes
(Schmerzen, Inappetenz, Erbrechen u.a.) als „Schwangerschaftsbeschwerden“
fehlgedeutet werden. Es kommt hinzu, daß die Möglichkeit
eines Magenkarzinoms in der Schwangerschaft überhaupt zu selten
in Betracht gezogen wird. Bei einer eigenen Beobachtung
einer 40-jährigen Patientin kam es in der 5. Schwangerschaft
nach unauffälligem Verlauf in der 38. Woche zu einer akuten
oberen intestinalen Blutung, als deren Ursache erst durch die sofort
durchgeführte Endoskopie unerwartet ein ausgedehntes Magenkarzinom
gefunden wurde (25). In den bisherigen kasuistischen Mitteilungen
wurde die Diagnose überwiegend in der 2. Schwangerschaftshälfte
und nach der Geburt gestellt, nur selten war das Karzinom bereits
vor der Schwangerschaft nachgewiesen worden.
Die Prognose des Magenkarzinoms hängt nicht
von der Phase der Schwangerschaft ab, in der das Karzinom festgestellt
und einer Therapie zugeleitet wird, sondern Therapie- unabhängig
spielen verschiedene andere Faktoren eine Rolle, wobei das Verhalten
des Tumors (Tumorsitz, Tumorausbreitung, histologische Klassifikation)
und dessen Trägers bzw. Interaktionen zwischen beiden im Vordergrund
stehen. Den Haupteinfluß hat dabei die Tumorausbreitung, d.h.
lokale Infiltration des Tumors und metastatischer Lymphknotenbefall
bzw. Fernmetastasierung. Auch in der Schwangerschaft ist das chirurgische
Vorgehen als Primärtherapie beim Magenkarzinom anzusehen,
da sich Chemotherapien verbieten. Da eine Abruptio keinen günstigen
Einfluß auf den Krankheitsverlauf erkennen läßt,
sollte bei Ausschöpfung der chirurgischen Therapiemöglichkeiten
die Schwangerschaft belassen bzw. bei reifem Kind die Geburtseinleitung
oder die Schnittentbindung mit der Magenoperation kombiniert werden
(14, 25, 36, 49).
Bisher ist mütterliche und kindliche Prognose als schlecht
einzustufen, bedingt durch die verzögerte Diagnostik und möglicherweise
durch ein aggressiveres Tumorverhalten. Bei 61 Schwangeren in Japan
betrug die 3-Jahres-Überlebensrate nur 21 % (49). Eine Verbesserung
dieser schlechten Langzeitergebnisse kann nur von einer früheren
Diagnose erwartet werden. Aus diesem Grunde sollte jede Schwangere
mit länger als 14 Tagen persistierenden Oberbauchbeschwerden
oder bei unzureichendem Therapieerfolg der endoskopischen Untersuchung
zugeführt werden. Jede umschriebene Schleimhautveränderung,
speziell jedes Ulkus muss biopsiert und histologisch untersucht
werden. Da bis zu 5 % aller makroskopisch als gutartig klassifizierten
Ulzera Karzinome, meist sogar Frühkarzinome sind, ist die gründliche
bioptische Untersuchung jeder Läsion absolut erforderlich.
↑
↑ ↑
4.4. Erkrankungen des Darmes
4.4.1. Enterale Ernährung bei Malnutrition
Wie die bisher wenigen Untersuchungen beim Tier und Menschen zeigen,
erfahren Struktur und Funktion des Darmes während der normalen
Schwangerschaft keine wesentlichen Veränderungen, so daß
dem Feten stets sämtliche notwendigen Aufbaustoffe zur Verfügung
stehen. Im Bedarfsfall kann es sogar zur Steigerung der Resorptionskapazität
kommen. Die duodenale Resorption von Kalzium ist während der
Schwangerschaft und der Stillzeit, die von Eisen in der Spätschwangerschaft
erhöht, möglicherweise als Folge einer Hypertrophie der
Zotten. Voraussetzung für einen ungestörten Schwangerschaftsverlauf
und eine normale Entwicklung des Feten ist allerdings eine qualitativ
und quantitativ ausgewogene Kost, die den steigenden Kalorienbedarf
in der Schwangerschaft deckt.
Besteht bei einer Schwangeren eine Störung der oralen Nahrungsaufnahme
aus den verschiedensten Gründen, ist sie von einer Mangelernährung
bedroht, die u. U. die klinische Ernährungstherapie erforderlich
macht. Hierbei ist die Ernährungstherapie sowohl enteral über
Sondensysteme als auch parenteral über zentral- oder periphervenöse
Katheter möglich. Eine kurzfristige derartige Ernährung
bietet in der Schwangerschaft keine besonderen Probleme. Anders
stellt sich die Situation bei Schwangeren dar, die bei unterschiedlichen
Grunderkrankungen langfristig exklusiv oder ergänzend zur Prävention
oder Therapie einer Malnutrition ernährt werden müssen.
Beide Formen der Ernährung sind auch in dieser Situation möglich,
jedoch sollte der enteralen Ernährung als der physiologischeren
Form bei funktionstüchtigem Magen-Darm-Trakt grundsätzlich
der Vorzug gegeben werden.
Erfolgt die Ernährung über 2 – 4 Wochen bis zu
mehreren Monaten und Jahren, hat heute an Stelle der transnasalen
gastralen oder jejunalen Sonden die Methodik der perkutanen
endoskopischen Gastrostomie (PEG) eine weite Verbreitung
gefunden. Bei Problemen der gastralen Nahrungsmittelapplikation
kann der Einsatz einer PEG mit jejunaler Sondenlage (JET-PEG)
hilfreich sein (Abb. 4.8).
Die enterale Langzeiternährung von Schwangeren
mittels Sonde oder PEG wurde bisher nur in wenigen Fällen mitgeteilt.
So wurde die erfolgreiche enterale Ernährung über eine
PEG bei Patientinnen mit Hyperemesis gravidarum, Anorexia nervosa,
chronisch-intestinaler Pseudoobstruktion und Malnutrition bei ösophagealer
Atresie beschrieben. Von den bisher berichteten 7 Fällen mit
einer enteralen Ernährung komatöser Schwangerer überlebten
in nur 4 Fällen sowohl Mutter als auch Kind.

Abb. 4.8 Sonden zur parenteralen Ernährung. PEG =
perkutane endoskopische Gastrostomie, JET-PEG = PEG mit jejunaler
Sondenlage, EPJ = endoskopische perkutane Jejunostomie, FKJ = Feinnadelkatheterjejunostomie.
Eine eigene Beobachtung einer Schwangeren mit
apallischem Syndrom, bei der erstmals eine JET-PEG erfolgreich zum
Einsatz kam und ein Monitoring durch wiederholte Bioelektrische
Impedanz- Analysen (BIA) zur Steuerung der enteralen Ernährung
erfolgte, sei hier beispielhaft dargestellt. Die 41-jährige
Mutter von 5 Kindern wurde in der 8. Schwangerschaftswoche infolge
eines linksseitigen Mediainfarktes stationär aufgenommen. Zuvor
hatte sie bei Zustand nach alloprothetischem Aortenklappenersatz
die Antikoagulationsbehandlung eigenständig beendet. Nach anfänglicher
klinischer Stabilisierung kam es 3 Wochen nach Aufnahme zu einem
erneuten Insultereignis mit rechtsseitigem Mediatotalinfarkt. Der
weitere Verlauf erforderte zunächst eine Respiratortherapie.
Nach anfänglicher enteraler Ernährungstherapie über
eine nasogastrale Sonde wurde die Ernährung über eine
PEG fortgeführt. Aufgrund rezidivierenden Erbrechens ab der
24. Schwangerschaftswoche wurde die PEG in eine JET-PEG umgewandelt.
Mit diesem Zugang gelang dann unter gleichzeitiger Kontrolle per
BIA die weitere Ernährungstherapie problemlos. In der 27. Schwangerschaftswoche
erfolgte die Entbindung eines weiblichen Neugeborenen (Geburtsgewicht
820 g) als Sectio caesarea bei Präeklampsie. Die kindliche
Entwicklung war zeitgerecht und im Weiteren unkompliziert. Die Mutter
konnte unter Beibehaltung der enteralen Ernährungstherapie
in die ambulante Pflege entlassen werden (56).
Einheitliche Richtlinien über die enterale Ernährung
Schwangerer liegen bisher nicht vor. Wir wählten eine vollbilanzierte,
ballaststoffhaltige Standardsondennahrung und passten im Schwangerschaftsverlauf
Energiegehalt, Eiweißmenge und Vitamingehalt bedarfsgerecht
an. Die per BIA-Messung bestimmten Werte für Körperzellmasse,
Extrazellulärmasse und Körperfett im Verlauf zeigt
Abb. 4.9. Der Verlauf der Albuminspiegel im Serum (Abb.
4.10) mit dem physiologischen leichten Abfall im zweiten
Drittel der Schwangerschaft kennzeichnet eine normale Ernährungssituation.
Das nichtinvasive Verfahren der BIA-Messung wird zum Monitoring
langzeiternährter Patienten erfolgreich angewandt.

Abb. 4.9 Bioelektrische Impedanzanalysen (BIA-Messungen)
bei mittels JET-PEG (siehe Abb. 4.8) langzeiternährter Schwangerer
mit apallischem Syndrom.

Abb. 4.10 Verhalten der Albuminspiegel im Serum bei derselben
Patientin wie in Abb. 4.9.
Es läßt Aussagen über Körpermasse, extrazelluläre
Masse, Körperfett und Körperzellmasse als Parameter des
Ernährungszustandes zu. Allerdings ist dieses Verfahren nur
bei Gesunden und Patienten mit isolierter Störung des Ernährungszustandes
hinreichend validiert, nicht dagegen bei Patienten mit deutlicher
Hyperhydratation (Dialysepatienten, Patienten mit Aszites) wie auch
in der Schwangerschaft. Hier sind das zusätzliche Kompartiment
des Feten mit eigenem Zellanteil und der Fruchtwassergehalt zu berücksichtigen.
Die zeitgerechte Entwicklung des Feten bis zur vorzeitigen Entbindung
einhergehend mit einer stabilen Körperzellmasse und einer leicht
ansteigenden Fettmasse der Mutter zeigt auf, daß die BIA-Messung
zur Verlaufsbeurteilung der fetalen und maternalen Ernährungssituation
offensichtlich geeignet ist.
Ob eine regelmäßige BIA-Kontrolle bei Ernährungsstörungen
in der Schwangerschaft sinnvoll und prognoseverbessernd ist, muß
in weiteren Untersuchungen evaluiert werden.
↑
↑ ↑
4.4.2. Malassimilation, Diarrhoe
Unter Maldigestion versteht man eine Einschränkung
der intraluminalen Verdauung. Ätiologisch finden sich Störungen
in der pankreatischen (z. B. exokrine Pankreasinsuffizienz) oder
biliären Verdauungsphase (Mangel an Gallensäuren). Die
Malabsorption ist durch gestörte Resorption
und Abtransport digestiver Nahrungsendprodukte gekennzeichnet. Es
können sehr heterogene Entstehungsursachen vorliegen wie Schleimhauterkrankungen
(z. B. Laktasemangel, Sprue, Morbus Crohn) oder Reduzierung der
Resorptionsfläche (z. B. Darmresektion, Ausschaltungsoperationen).
Beide Funktionsstörungen faßt man unter dem Oberbegriff
Malassimilation zusammen. Leitbefunde sind chronische Diarrhoen,
Gewichtsverlust und Mangelsymptome.
Die Diarrhoe ist Haupt- oder Begleitsymptom zahlreicher
intestinaler, aber auch extraintestinaler Krankheiten. Verschiedene
Definitionen werden benutzt, am häufigsten ist folgende: Absetzen
von mehr als 3 flüssigen oder breiigen Stühlen/Tag mit
einem Gewicht von über 200 g/Tag. Dauert die Diarrhoe länger
als 2 Wochen, spricht man von einer chronischen Diarrhoe.
Eine normale Funktion des Darms mit ungestörter Aufnahme von
Eiweiß, Fetten, Kohlenhydraten, Vitaminen, Elektrolyten, Spurenelementen
und Wasser gewährleistet das regelrechte Wachstum des Feten.
Erkrankungen der Leber und Gallenwege, des Pankreas und des Magen-Darm-Kanals
können jedoch zu einer Störung des Transports, der Digestion
und Resorption dieser Nahrungsbestandteile führen und bei schweren
Verlaufsformen den Feten gefährden. Die Symptomatik der Malassimilation
wird dabei von der zugrundeliegenden Erkrankung bestimmt, häufiges
Symptom ist die chronische Diarrhoe.
Die chronisch entzündlichen Darmerkrankungen,
Morbus Crohn und Colitis ulcerosa, sind wegen der Vielfalt möglicher
Störungen von besonderer Bedeutung für unser Thema. Sie
werden deshalb gesondert besprochen (s. Kap. 4.4.5.)
Die einheimische Sprue (Zöliakie, glutensensitive
Enteropathie) weist stärkere Wechselbeziehungen zur
Gravidität auf. Die Sprue ist durch eine lebenslängliche
Unverträglichkeit gegenüber dem Getreidebestandteil Gluten
charakterisiert. Morphologisch findet sich eine Zottenreduktion
und eine Kryptenhyperplasie der Dünndarmschleimhaut. Hieraus
resultieren bei der manifesten Sprue eine Malabsorption und chronische
Diarrhoen. Bei den häufigeren mono- oder oligosymptomatischen
Formen können lediglich eine chronische Anämie oder die
Beschwerdekonstellation eines Reizdarmsyndroms vorliegen. Mit dem
Beginn einer glutenhaltigen Nahrung im Säuglings- und Kleinkindesalter
kann sich die Erkrankung erstmals manifestieren. Ein erster Altersgipfel
liegt im Kindesalter zwischen 9 Monaten und 3 Jahren, ein zweiter
im 4. Lebensjahrzehnt. Die Prävalenz zeigt auch in Europa große
Unterschiede, in Deutschland dürfte die Prävalenz bei
Erwachsenen bei 1:5000 liegen.
Die Fertilität ist bei aktiven Krankheitsprozessen
reduziert. Die Schwangerschaft selbst kann die Symptomatik der Sprue
verstärken oder zur Manifestation einer bislang asymptomatischen
Erkrankung führen. Dies trifft vor allem für die Spätschwangerschaft
und das Wochenbett zu. Beim unbehandelten Vollbild der Sprue ist
sowohl die Zahl der Totgeburten als auch der Aborte erhöht.
Diese erhöhte Inzidenz spontaner Aborte wird auf einen Folsäuremangel
zurückgeführt. Aborte bei mikro- oder makrozytären
Schwangerschaftsanämien sind, wenn keine andere Ursache gefunden
wird, verdächtig auf das Vorliegen einer latenten Sprue, die
deshalb differentialdiagnostisch ausgeschlossen werden muß.
Das geburtshilfliche Hauptproblem ist allerdings im Rahmen der Sprue
eine erhöhte fetale Wachstumsretardierung und möglicherweise
auch eine gesteigerte Frühgeburtlichkeit, die wichtige Ursachen
der neonatalen Morbidität und Mortalität darstellen. Ein
entsprechendes pränatales Monitoring dieser Risikoschwangerschaften
ist deshalb angezeigt (25).
Die kausale Therapie besteht in der Elimination
der toxischen glutenhaltigen Nahrungsprodukte. Mangelzustände
(z. B. Vitamin B12, Folsäure, Zink, fettlösliche Vitamine)
müssen ausgeglichen werden. Vor einer geplanten Schwangerschaft
bei bekannter Sprue sollte angestrebt werden, dass sich die flache
Dünndarmmukosa unter einer strikten glutenfreien Diät
normalisiert und dass die Folgezustände der Malabsorption beseitigt
worden sind.
Aus einer kürzlich publizierten schwedischen Studie ergeben
sich erste Hinweise, daß auch die behandelte einheimische
Sprue negative Effekte auf Geburtsgewicht und Schwangerschaftsdauer
ausüben kann. Es konnte gezeigt werden, daß nicht nur
die Malnutrition als Risikofaktor anzusehen ist, sondern daß
auch mit der Sprue assoziierte genetische Faktoren die fetale Prognose
beeinflussen können. Bisher war bekannt, daß die gonodale
Funktion des männlichen Sprue-Patienten reduziert ist. In dieser
Studie konnte jetzt gezeigt werden, daß auch die ausschließliche
Erkrankung des Vaters zu niedrigen Geburtsgewichten und eventuell
auch zu einer Verkürzung der Schwangerschaftsdauer führen
kann (37).
Eine teilweise Ausschaltung des Dünndarms und damit Verringerung
der Resorptionsfläche ist die Folge von intestinalen
Bypass-Operationen, die zur Behandlung einer extremen Adipositas
durchgeführt wurden. Obwohl gehäuft bei derartig behandelten
Patientinnen Nebenwirkungen und Komplikationen auftreten, werden
auch in Einzelfällen komplikationslose Schwangerschaften und
Geburten beobachtet. Insgesamt muß jedoch aufgrund der sich
entwickelnden Malabsorption gehäuft mit niedrigeren Geburtsgewichten,
verkürzten Tragzeiten und intrauterinen Mangelentwicklungen
gerechnet werden. Das gilt insbesondere für die jejunoilealen
Bypass-Operationen, weniger für den gastralen Bypass (25).
Die exsudative Gastroenteropathie ist durch einen
verstärkten Verlust von Plasmaproteinen in den Intestinaltrakt
mit nachfolgender Ausbildung von Ödemen, durch Gewichtsverlust
und Infektionsneigung gekennzeichnet. Dieses polyätiologische
Syndrom kann bei den verschiedensten Erkrankungen des Magen-Darm-Kanals,
z.B. bei Sprue und bei Morbus Crohn und Colitis ulcerosa, auftreten
und den Verlauf der Grunderkrankung komplizieren. Auch bei schwangerschaftsspezifischen
Erkrankungen wie der Präeklampsie und der akuten Schwangerschaftsfettleber
kann ein solcher pathologischer intestinaler Eiweißverlust
auftreten (25).
Das Reizdarm-Syndrom ist durch eine typische über
Wochen bis Monate bis Jahre rezidivierende Beschwerdekonstellation
mit diffusen Bauchschmerzen und Veränderungen der Defäkation
(Diarrhoen, oft im Wechsel mit Obstipation) ohne faßbare organische
Ursache charakterisiert. Gehäuft sind funktionelle Störungen
des oberen Magen-Darm-Traktes (funktionelle Dyspepsie, Reizmagen-Syndrom)
assoziiert. Beide Syndrome können sich überlagern bzw.
abwechseln. Frauen, zumeist im 3. und 4. Lebensjahrzehnt, sind öfter
als Männer von dieser häufigen funktionellen Darmstörung
betroffen. Es existieren keine spezifischen Studien zur Prävalenz
des Reizkolons während der Schwangerschaft. Wahrscheinlich
ist die Symptomatik gleich häufig in wie außerhalb der
Schwangerschaft. Den in der Schwangerschaft erhöhten Prostaglandinen
wird eine wesentliche pathogenetische Rolle bei der Auslösung
der Diarrhoen im Rahmen des Reizdarm-Syndroms zugeschrieben, indem
sie die propulsiven Kontraktionen stimulieren und die Sekretion
von Wasser und Elektrolyten steigern. Gleiche Effekte werden bei
der exogenen Zufuhr von Prostaglandinen (z.B. Misoprostol) gesehen.
Erhöhte Prostaglandinspiegel werden auch für die während
der Menstruation zu beobachtenden Symptome wie Diarrhoe, Übelkeit,
Erbrechen und abdominelle Beschwerden verantwortlich gemacht.
Ein Laktasemangel, der sich bei etwa 15 % der
weißen Bevölkerung findet, ist häufige Ursache von
Diarrhoen, Meteorismus und Bauchkrämpfen, insbesondere nach
Genuß größerer Mengen Milch. Die Laktosemalabsorption
hat sowohl primär wie sekundär infolge diffuser Dünndarmerkrankungen
(hier bestimmt die Schwere der Grunderkrankung die Prognose) keine
größere Bedeutung für die Gravidität (25).
Weniger bekannt, aber heute praktisch ebenso wichtig wie die Laktoseintoleranz,
sind Unverträglichkeiten von Fruktose, Xylit und Sorbit,
die als Süßstoffe Verwendung finden und ebenfalls Diarrhoen
verursachen können. Zu Diarrhoen kann es auch bei Zufuhr hoher
Mengen an Vitamin C (mehr als 3 – 4 g/Tag) als auch bei der
Gabe von Magnesium-Präparaten kommen.
Akute Diarrhoen werden auch in der Schwangerschaft
meist durch Endotoxine sowie durch virale und bakterielle Infektionen
hervorgerufen. Diese Diarrhoen heilen unter symptomatischer Therapie
mit Flüssigkeitsersatz und Korrektur des Elektrolythaushaltes
meist innerhalb weniger Tage ab. Aufgrund langjähriger Erfahrung
ist die Gabe von Loperamid in der Schwangerschaft als relativ sicher
anzusehen. Embryotoxische und teratogene Hinweise haben sich bisher
nicht ergeben. Es wird kaum resorbiert und ist stärker wirksam
als Diphenoxylat und besitzt auch nicht dessen opiatartige zentrale
Nebenwirkungen. Bei schweren bakteriellen Darmerkrankungen wird
auch in der Schwangerschaft die gezielte antibiotische Behandlung
des Erregers durchgeführt (26).
↑
↑ ↑
4.4.3. Obstipation
Die Obstipation ist ein Leitsymptom zahlreicher intestinaler und
extraintestinaler Grunderkrankungen, keine Krankheit per se. Es
überwiegen funktionelle Ursachen, selten sind es organische.
Pathophysiologisch kann eine verzögerte Passage im Dickdarm
oder eine Entleerungsstörung des Enddarms vorliegen. Bei der
Darmträgheit stehen Beschwerden wie zu harter und zu seltener
Stuhlgang, bei der Entleerungsstörung die Notwendigkeit starken
Pressens und das Gefühl der unvollständigen Darmentleerung
im Vordergrund. Wenn eine Defäkationsfrequenz von 3 –
21 Entleerungen pro Woche als normal angesehen wird, kann die Obstipation
folgendermaßen definiert werden:
- bei der akuten Obstipation haben die Betroffenen weniger als
6 Monate 2 oder weniger Darmentleerungen pro Woche und klagen über
Schwierigkeiten, die Entleerung einzuleiten,
- bei der chronischen Obstipation (über 6 Monate dauernd) liegen
zwei oder mehrere der folgenden Symptome vor: weniger als 2 Stühle
pro Woche, harter Stuhl, starkes Pressen beim Stuhlgang, Gefühl
der inkompletten Entleerung.
Die idiopathische Obstipation ist eine der häufigsten gastrointestinalen
Funktionsstörungen. Die Prävalenzrate beträgt 2 %
mit einer deutlichen Zunahme im Alter (bis zu 20 %).
Es ist eine weit verbreitete Ansicht, daß auch für die
Schwangerschaft die Obstipation
geradezu typisch sei, die zudem mit Fortschreiten der Schwangerschaft
zunehme und eine präexistente Obstipation verstärke. Im
Gegensatz zu diesem mehr klinischen Eindruck sind wissenschaftliche
Daten zur Prävalenz der schwangerschaftsassoziierten Obstipation
relativ begrenzt, nicht zuletzt aufgrund des Fehlens allgemein akzeptierter
Definitionen. Die Prävalenzen reichen von 11 % in Israel bis
zu über 30 % in England im ersten, vor allem aber im letzten
Trimenon (2, 6, 10, 25). Diese Unterschiede lassen sich zum Teil
auf Ernährungs- und Umgebungsfaktoren in den verschiedenen
Kulturbereichen zurückführen (10, 25). Vermutlich ist
in Deutschland die Obstipation (nach eigenen Erfahrungen etwa 10
– 15 %) wie Übelkeit und Erbrechen und auch gastroösophageale
Refluxbeschwerden eine relativ häufige Begleiterscheinung der
Schwangerschaft. Zudem ist die Obstipation häufig Bestandteil
des Reizdarm-Syndroms. Ebenso begünstigt sie das Auftreten
von dyspeptischen und Refluxsymptomen.
Die Pathophysiologie der schwangerschaftsbedingten
Obstipation ist multifaktoriell. Eine ungenügende Flüssigkeitsaufnahme
speziell bei Nausea und Emesis, die Ausbildung peripherer Ödeme
sowie eine verlängerte Dünn- und Dickdarmtransitzeit mit
konsekutiv vermehrter Resorption von Wasser und Elektrolyten können
zur Eindickung des Stuhles führen, ein verringerter Ballaststoffverzehr,
Einnahme von Eisenpräparaten wie von kalzium- und aluminiumhaltigen
Antazida, mangelnde körperliche Bewegung, mechanische Effekte
des wachsenden Uterus auf den Darm sowie eine Schwäche der
Bauchmuskulatur und des Beckenbodens gerade bei Mehrgebärenden
werden als weitere begünstigende Faktoren einer Obstipation
angesehen.
Ursachen von Defäkationsstörungen können u. a. ein
Hämorrhoidalleiden, eine Analfissur oder eine perianale Thrombose
sein.
Bei der schwangerschaftsassoziierten Obstipation handelt es sich
im wesentlichen um eine Verzögerung des intestinalen Transits,
wobei ursächlich den ansteigenden Serumkonzentrationen von
Östrogen und Progesteron und den abfallenden Spiegeln von Motilin
(Progesteron soll die Freisetzung von Motilin hemmen) eine dominierende
Rolle zukommt (6, 10, 15, 25). Ob das in Plazenta und Corpus luteum
synthetisierte inhibitorische Polypeptid Relaxin ebenfalls eine,
nach der Geburt reversible, allgemeine Tonusminderung der glatten
Muskulatur hervorruft wie die anderen hormonellen Veränderungen,
ist unklar.
Tierexperimentelle Studien weisen auf die besondere Bedeutung des
Progesterons in der Reduktion der muskulären Kontraktilität
des gesamten Intestinaltraktes hin mit der Folge eines langsamen
Transits. Ursächlich werden eine Änderung des transepithelialen
Kalzium-Fluxes und/oder der intrazellulären Kalziumkompartimentierung
diskutiert (10, 20).
Transitzeitmessungen durch das Kolon (z.B. mit röntgendichten
Markern) liegen aus verständlichen Gründen für die
menschliche Schwangerschaft nicht vor. Es existieren lediglich Daten
über die Transportgeschwindigkeit im Dünndarm mit Hilfe
des Laktulose-H2-Atemtests. In einer Studie zeigte sich eine verlängerte
orozökale Dünndarmtransitzeit, speziell im 3. Trimenon
(Abb. 4.11).

Abb. 4.11 Orozökale Transitzeit während der Schwangerschaft
und postpartal (35).
Da dieser relativ unphysiologische Atemtest eine erhebliche intra-
und interindividuelle Varianz aufweist, wird verständlich,
daß andere Untersucher diesen Befund nicht bestätigen
konnten (24, 35, 54). Die eigenen Normwerte bei
nichtschwangeren Frauen während der Geschlechtsreife betragen
80 – 140 Minuten. Bei der Interpretation der orozökalen
Transitzeit in der Schwangerschaft muss Berücksichtigung finden,
dass das Ergebnis wesentlich von der Magenentleerung beeinflusst
wird (z. B. häufigere Verlängerung der Magenentleerungszeit
bei Schwangeren mit Sodbrennen) und dass die Laktulose selbst den
Dünndarmtransit beschleunigt.
Inkorrekt ist es, jede Obstipation als physiologische Begleiterscheinung
der Schwangerschaft anzusehen. Gerade eine plötzlich aufgetretene
Obstipation oder eine deutliche Symptomänderung bei chronischer
Obstipation lassen es angebracht erscheinen, organische
Ursachen (stenosierende Darmprozesse, anorektale Prozesse,
endokrine und metabolische Ursachen, Erkrankungen der Nachbarorgane)
durch entsprechende Untersuchungen (Endoskopie, Sonographie, Laboruntersuchung)
auszuschließen.
Eine seltene Komplikation in Schwangerschaft und Wochenbett ist
die intestinale Pseudoobstruktion (Ogilvie-Syndrom)
in der akuten oder chronischen Form. Es handelt sich um eine schwere
Störung der Darmmotilität, die zum Auftreten ileusartiger
Symptome (Ileus e graviditate) führt, ohne
dass ein mechanischer Verschluss vorliegt. Ätiologisch werden
bei diesem adynamischen (spastischen) Ileus u. a. eine übersteigerte
physiologische Darmatonie, Elektrolytstörungen (z. B. bei Emesis),
Albuminmangel mit Darmwandödem sowie die Kompression von Rektum
und Sigma durch den Uterus vermutet. Liegen keine Zeichen einer
Perforation vor, wird primär konservativ therapiert: koloskopische
Dekompression, Gabe von Prokinetika, Korrektur von Volumen-, Albuminmangel
und Elektrolytentgleisungen.
Bei Vorliegen von organischen Ursachen der Obstipation muß,
soweit möglich, kausal behandelt werden. Bei der funktionellen
Form der Obstipation in der Schwangerschaft sollte versucht werden,
therapeutisch mit den einfachsten Mitteln auszukommen.
Dazu gehören Veränderungen der Lebensweise und der Nahrung
(schlackenreiche Kost). Zu empfehlen sind gutbekömmliche Vollkorn-Getreidearten,
frische und getrocknete Früchte, rohe und gekochte Gemüse
und Salate, unterstützt durch eine reichliche Flüssigkeitszufuhr
von 1,5 – 2 l Flüssigkeit. Bei Bedarf können Ballaststoffkonzentrate
wie Füll- und Quellstoffe in einer Dosis bis zu 15 g/Tag hinzugefügt
werden. Bei diesen Substanzen handelt es sich um natürlich
vorkommende oder synthetisch abgewandelte quellfähige nichtverdaubare
Polysaccharide. Hierzu gehören Inhaltsstoffe wie Leinsamen,
Weizenkleie und indischer Flohsamen (Plantago ovata Samenschalen).
Bei ungenügender Wirkung dieser milden Laxantien sind osmotisch
wirksame Laxantien, speziell Laktulose als osmotisch wirksamer Zucker,
angezeigt, aber auch die Gabe von Antrachinon-Derivaten (Sennoside)
oder von Diphenylmethan-Derivaten (Bisacodyl, Natriumpicosulfat)
ist gerechtfertigt. Weder bei Schwangeren noch aus Tierexperimenten
sind embryotoxische oder fetotoxische Effekte dieser Substanzen
bekannt geworden. Verboten sind dagegen Aloehaltige Abführmittel,
die Aborte auslösen können. Zum Erreichen einer rektalen
Entleerung sind CO2-produzierende Suppositorien oder Bisacodyl-Suppositorien
als sicher anzusehen (26).
↑
↑ ↑
4.4.4. Anorektale Erkrankungen
Von den verschiedenen anorektalen Erkrankungen haben während
der Schwangerschaft besonders die Hämorrhoiden und
ihre Folgeerscheinungen klinische Bedeutung. Entsprechend
den zuführenden arteriellen Gefäßen entwickeln sich
die Hauptknoten des hypertrophierten Corpus cavernosum recti in
Steinschnittlage bei 3, 7 und 11 Uhr. Bei Hämorrhoiden 1. Grades
ist die Hypertrophie des Hämorrhoidalorgans proktoskopisch
oberhalb der Linea dentata sichtbar, bei Hämorrhoiden 2. Grades
prolabieren die Knoten auf Bauchpresse und bei der Defäkation
in den Analkanal, um sich dann spontan zu retrahieren, bei den Hämorrhoiden
3. Grades sind die fibrosierten Knoten bereits von außen sichtbar,
lassen sich aber noch digital reponieren, bei Hämorrhoiden
4. Grades dagegen besteht ein permanenter nicht reponibler Hämorrhoidalprolaps.
Etwa die Hälfte der Schwangeren entwickelt
mit zunehmender Schwangerschaft innere Hämorrhoiden,
wobei es sich überwiegend um die Schweregrade 1 und 2, nur
selten um Grad 3 handelt. Besonders betroffen sind ältere Schwangere
und Mehrgebärende. Etwa 65 – 85 % der Frauen mit Hämorrhoidalbeschwerden
geben an, daß sich die Symptomatik erstmals während der
Schwangerschaft entwickelt habe. Bei vorbestehenden Hämorrhoiden
kommt es etwa in 85 % der Fälle während Schwangerschaft
und Entbindungsphase zur Verschlechterung (10, 25).
Als begünstigende pathogenetische Faktoren werden die hormonell
bedingte Steigerung des arteriellen Zuflusses und die Hemmung des
venösen Abflusses durch den erhöhten Druck im kleinen
Becken gegen Ende der Schwangerschaft, durch den vergrößerten
Uterus und durch verstärktes Pressen infolge einer zunehmenden
schwangerschaftsassoziierten Obstipation diskutiert.
Leitsymptom des Hämorrhoidalleidens, vor
allem bei Schweregrad 1, ist die hellrote Blutung.
Auch wenn die Hämorrhoidalregion die häufigste Ursache
peranaler Blutungen ist, müssen auch in der Schwangerschaft
differentialdiagnostisch chronisch entzündliche Darmerkrankungen,
Karzinome und Polypen endoskopisch ausgeschlossen werden. Weitere
Symptome wie Juckreiz, Schmerzen, Brennen und Stechen in der Analregion,
Fremdkörper- und Druckgefühl, Sekretion aus dem After,
akutes und chronisches Analekzem, Prolaps und akute äußere
perianale Thrombosen sind mehrheitlich Zeichen der fortgeschrittenen
Erkrankung oder von Sekundärkomplikationen. Besonders schmerzhaft
sind die akuten perianalen Thrombosen, die vor allem im Wochenbett
auftreten. Nicht mit Hämorrhoiden verwechselt werden dürfen
Analläppchen (Marisken), die während Schwangerschaft und
postpartal durch eine lokale Entzündung ein ausgeprägtes
Ödem entwickeln können. Bei Pruritus ani muß auch
an das Vorliegen eines Diabetes mellitus oder einer Oxyuren-, Soor-
oder Trichomonadeninfektion gedacht werden.
Die Therapie des unkomplizierten Hämorrhoidalleidens
ist primär konservativ. Sie besteht in der Durchführung
von allgemeinen Maßnahmen (ballaststoffreiche Kost, ausreichend
Flüssigkeit, körperliche Bewegung) sowie einer lokalen
symptomatischen Behandlung mit antiphlogistischen, adstringierenden
und anästhesierenden Salben und Suppositorien. Die perianale
Thrombose kann in den ersten Tagen durch Stichinzision und Expression
der Thromben - häufig ohne Lokalanästhesie möglich
– oder durch eine ovaläre Exzision des Knotens in Lokalanästhesie
behandelt werden. Bei ausgedehnten perianalen Thrombophlebitiden,
bei denen es nicht gelingen dürfte alle Thromben nach der Inzision
zu entfernen, oder bei bereits in Organisation übergegangenen
Thrombosen empfehlen sich abschwellende Maßnahmen wie Kochsalzumschläge
oder lokale Anwendung von Heparinoiden oder Lokalanästhetika,
in schweren Fällen ist auch die Gabe von Antiphlogistika wie
Diclofenac gerechtfertigt. Mit den bisher aufgeführten Maßnahmen
läßt sich das Hämorrhoidalleiden während der
Schwangerschaft und im Wochenbett in den meisten Fällen gut
beherrschen. Die Indikation zur operativen Hämorrhoidektomie,
auch noch im Wochenbett, ist sehr zurückhaltend zu stellen,
da selbst ausgeprägte Veränderungen oft eine überraschend
gute Rückbildungstendenz zeigen. Über eine gezielte Behandlung
sollte frühestens 2 Monate post partum entschieden werden.
Nur schwerere Blutungen, Prolaps und rezidivierende Thrombosen lassen
eine sofortige kausale Therapie nach den bekannten Richtlinien angebracht
erscheinen. Nur in Ausnahmefällen, bei massivem Anal- und Hämorrhoidalprolaps
oder beim Rektumprolaps ist eine chirurgische Korrektur erforderlich,
die ebenfalls vorzugsweise nach dem Wochenbett durchgeführt
werden sollte (25, 45).
In der Schwangerschaft auftretende akute Analfissuren,
für deren Entstehen innere Hämorrhoiden als Teilursache
angesehen werden, die fast immer – häufig mit einer Vorpostenfalte
– an der hinteren Kommissur lokalisiert sind und die sich
durch einen außerordentlich heftigen mit der Defäkation
beginnenden Schmerz auszeichnen, werden therapeutisch durch Unterspritzung
mit Lokalanästhetika angegangen. Nur chronische Fissuren sollten
in Lokalanästhesie exzidiert werden (25).
↑
↑ ↑
4.4.5. Chronisch entzündliche Darmerkrankungen
(CED)
Morbus Crohn (MC) und Colitis ulcerosa
(CU) sind die Hauptformen der idiopathischen chronisch entzündlichen
Darmerkrankungen (CED). Sie weisen eine Reihe von
Gemeinsamkeiten auf, Unterschiede bestehen vor allem im makroskopischen
und histologischen Befund sowie im Befallsmuster. Der Begriff Colitis
indeterminata kennzeichnet die Fälle, deren exakte Zuordnung
nicht möglich ist (ca. 10 % der Patienten).
Die Inzidenz der CED zeigt in den verschiedenen geographischen
Regionen große Unterschiede. In Westeuropa beträgt die
Inzidenz derzeit 1 – 6 pro 100.000 Einwohner und Jahr bei
einer Prävalenz von 10 – 100.
Der MC kann diskontinuierlich den gesamten Magen-Darm-Trakt befallen.
Alle Wandschichten sind vom Entzündungsprozeß betroffen
mit der Folge des komplizierenden Auftretens von Stenosen, Fisteln
und Abszessen. Prädilektionsorte sind Ileum, Kolon und Perianalregion.
Die CU zeigt in der Regel einen kontinuierlichen Befall ausschließlich
der Kolonmukosa. Überwiegend sind die distalen Kolonabschnitte
betroffen. Ausgehend vom Rektum kann die Entzündung aber auch
unterschiedlich weit das gesamte Kolon, gelegentlich das terminale
Ileum, erfassen. In etwa 10 % der Fälle findet sich eine totale
CU.
In der Regel wechseln sich akut entzündliche Schübe mit
Remissionsphasen ab. Das klinische Bild bei MC ist sehr variabel,
abhängig von Lokalisation und Ausmaß der Entzündung.
Häufige Symptome sind Durchfälle (meist ohne Blut), Gewichtsverlust,
Bauchschmerzen und Fieber. Führende Symptome bei der CU sind
die blutig-eitrig-schleimigen Durchfälle, Gewichtsabnahme und
Fieber treten je nach Aktivität der Erkrankung hinzu.
Ätiologie und Pathogenese der CED sind weiterhin noch nicht
völlig geklärt. Eine genetische Prädisposition, noch
nicht eindeutig identifizierte Umwelteinflüsse (z.B. Rauchen,
Ernährung, Infektionen etc.) und Wirtsfaktoren (z. B. gestörte
intestinale Barrierefunktion) werden als Faktoren diskutiert, die
an der Fehlregulation und pathologischen Steigerung der Immunantwort
der mukosaassoziierten Immunzellen ursächlich beteiligt sind.
Als Hinweis für den systemisch-immunologischen Charakter der
CED finden sich gehäuft extraintestinale Manifestationen an
Haut, Gelenken, Auge, Leber, Gallenwegen und anderen Organen. Differentialdiagnostisch
müssen die CED von infektiösen Darmerkrankungen abgegrenzt
werden.
CED manifestieren sich überwiegend im Jugend- und frühen
Erwachsenenalter zwischen dem 15. und 30. Lebensjahr, das Geschlechtsverhältnis
ist in etwa ausgeglichen. Somit ist bei vielen der erkrankten Frauen
während der gesamten Zeit der Geschlechtsreife die Möglichkeit
einer wechselseitigen Beeinflussung der CED mit
Fertilität und Schwangerschaft gegeben. Zu fragen
ist aber auch, ob die männliche Fertilität durch die Erkrankung
selbst, aber auch durch Medikamente und operative Eingriffe beeinflußt
werden kann.
↑
↑ ↑
4.4.5.1. Fertilität
Die Fertilität von Frauen mit CED ist in der Regel nicht beeinträchtigt,
dies gilt insbesondere für Patientinnen mit geringer Krankheitsaktivität
und fehlenden Komplikationen. In Phasen mit hoher entzündlicher
Aktivität, nach größeren operativen Eingriffen oder
ausgeprägten Gewichtsverlusten kann jedoch – aus biologischer
Sicht durchaus sinnvoll – die Konzeptionsfähigkeit vorübergehend
oder dauerhaft herabgesetzt sein, z.B. bei sekundärer Amenorrhoe
(1, 25, 29, 31, 34).
Eine Sonderstellung nehmen Frauen mit CU ein, bei denen eine Proktokolektomie
mit ileoanaler Pouchanlage durchgeführt wurde. In einer umfangreichen
dänisch-schwedischen Studie mit 290 Patientinnen, die im Alter
von 10 – 40 Jahren operiert wurden, nahm die Fertilität
verglichen mit einem Kontrollkollektiv von 661 Frauen ohne CED um
80 % ab. Vor dem operativen Eingriff entsprach die Fertilität
der einer gesunden Kontrollpopulation. Die Gründe für
diese deutliche Reduktion der Fertilität sind unklar, auf adhäsive
Veränderungen im kleinen Becken als eine mögliche Ursache
wird hingewiesen (42).
Beim Vorliegen eines aktiven MC scheint die Fertilität insgesamt
vermindert zu sein. Dyspareunie, unregelmässige Ovulationszyklen,
verminderte Libido sowie chronische Entzündungsprozesse, Abszesse
und Fisteln im Becken, die die Funktion von Tuben, Ovarien, Uterus
und Vagina beeinträchtigen, können verantwortlich gemacht
werden.
Bei Männern können Salazosulfapyridin-Präparate
zu einer reversiblen Infertilität führen. Ursache sind
Oligospermie und Alterationen der Spermienmorphologie und –motilität.
Nach Absetzen von Sulfasalazin oder beim Wechsel auf 5-Aminosalicylsäure-Präparate
bildet sich die Infertilität nach etwa 2 Monaten zurück.
Während die Proktokolektomie im Allgemeinen die Fertilität
nicht beeinflußt, können Fisteln und Abszesse im kleinen
Becken zu Erektions-und Ejakulationsstörungen führen (29,
31).
↑
↑ ↑
4.4.5.2. Wechselwirkungen zwischen CED und Schwangerschaft
Alle Studien, die die Wechselwirkungen zwischen CED und Schwangerschaft
behandeln, stellen in der Regel retrospektive Studien, häufig
mit relativ kleiner Fallzahl dar. Dass teils Angaben über die
genauen Krankheitslokalisationen fehlen, unterschiedliche therapeutische
Maßnahmen zur Anwendung kamen, Verlaufsbeobachtungen an Kontrollgruppen
gleichaltriger nichtgravider CED-Patientinnen nicht durchgeführt
wurden, erschwert die Beurteilung der Zusammenhänge.
Basierend auf Sammelstatistiken und Metaanalysen wird heute im
Gegensatz zu früheren Auffassungen - eine Gravidität beeinflusse
den Verlauf der CED negativ - angenommen, dass der Verlauf der CED
weitgehend unabhängig von der Schwangerschaft ist und dass
der Schwangerschaftsverlauf bei MC und CU in 70 – 80 % unkompliziert
ist. Letztendlich bestimmen Art, Ausdehnung und Schwere der zugrundeliegenden
CED, die Aktivität zum Zeitpunkt der Konzeption, aber auch
psychologische Faktoren den Krankheitsverlauf während der Gravidität
(1, 25, 27, 29, 31, 34).
Erfolgt die Konzeption bei CU und MC in der Remissionsphase, verläuft
die Schwangerschaft in der Regel ungestört, drei Viertel der
Schwangeren erleiden keine Exazerbation. Etwa zwei Drittel der Patientinnen,
die während einer aktiven Phase der Erkrankung schwanger werden,
müssen damit rechnen, daß die Aktivität gleich schlecht
bleibt oder sogar schlechter wird, und daß nur ein Drittel
auch bei adäquater Behandlung eine Remission erreicht. Entzündliche
Schübe treten bevorzugt im ersten Trimenon und im Wochenbett
auf, also in Phasen hormoneller Umstellung, in denen gerade auch
psychosomatische Einflüsse wirksam werden können. Der
Einfluß psychischer Faktoren wird auch an der Beobachtung
deutlich, daß ungewollte Schwangerschaften gegenüber
gewünschten Schwangerschaften mit 39 % versus 12 % eine höhere
Rezidivrate aufweisen (29, 48).
Es ist ungeklärt, ob bei medikamentös-induzierten Remissionen
oder bei den wiederholt gesehenen Spontanremissionen der Anstieg
des Kortisols während der Schwangerschaft oder der Einfluss
des epidermal growth factor (EGF) eine Rolle spielen. In einer präliminären
Studie finden sich Hinweise, dass lokal applizierter epithelialer
Wachstumsfaktor zusammen mit Mesalazin eine neue Therapieoption
für die linksseitige CU sein könne. Es ist die Frage,
ob die geringe endogene Produktion von EGF im Dünn- und Dickdarm,
die bei den CED wahrscheinlich keine Änderung erfährt,
hier in der Schwangerschaft stimuliert wird.
Nach Proktokolektomie und Anlage eines Ileostomas ist das Austragen
einer Schwangerschaft ungestört möglich, so dass kein
Grund besteht, in einem solchen Fall von einer Schwangerschaft abzuraten.
Die Funktion des Stomas bleibt in den meisten Fällen unbeeinflußt,
mögliche Komplikationen sind in der zweiten Schwangerschaftshälfte
ein Prolaps des Ileums durch das Stoma, eine intestinale Obstruktion
durch das Wachstum des Uterus und die intraabdominelle Druckerhöhung
sowie Blutungen aus Einrissen des Ileostomas. Nach ileoanaler Pouchanlage
kann es während der Schwangerschaft gehäuft zu Problemen
mit dem Pouch kommen. Die zu beobachtenden erhöhten Stuhlentleerungsfrequenzen
und Inkontinenz sind post partum meist reversibel.
Bei MC-Patientinnen mit aktiver perianaler Beteiligung wird die
Entbindung per Kaiserschnitt empfohlen, um Komplikationen wie verzögerte
Wundheilung und Ausbildung von Fisteln oder Abszessen zu vermeiden.
Bei Patientinnen mit ileoanalem Pouch ist in der Regel eine vaginale
Entbindung möglich (29, 34, 42, 44).
Bei CED liegt die Chance, ein lebendes und gesundes Kind zu gebären,
im Mittel über 80 % (71 – 97 % in individuellen Untersuchungen),
und ist damit normal. Auch die Rate an Spontanaborten (ca. 7,5 –
10 %), Mißbildungen (im Mittel 1 %) und Totgeburten (ca. 1
– 2%)
unterscheidet sich in Remissionsphasen nicht von der bei gesunden
Schwangeren. Je höher allerdings die Krankheitsaktivität,
desto größer wird die Wahrscheinlichkeit eines Abortes
oder einer Totgeburt. Ebenfalls mit der Aktivität korreliert
die Rate an Früh- und Mangelgeburten. Insgesamt wird das relative
Risiko einer Frühgeburt als dreifach erhöht angesehen
(29, 31, 34).
Die Häufung von MC und CU in einzelnen Familien und Untersuchungen
an ein- und zweieiigen Zwillingen weisen auf einen Einfluß
des Erbmaterials auf die Entwicklung dieser CED hin. Das Lebenszeitrisiko
für Kinder von Patienten mit CED selbst zu erkranken ist relativ
gering. Ist ein Elternteil an einer CED erkrankt, liegt das relative
Risiko für die Kinder weit unter 10 % (1- 7 %). Leiden hingegen
beide Eltern an einer CED, ist das Risiko für die Kinder überproportional
hoch (bis 36 %). Bei einem erkrankten Kind liegt das relative Risiko
für weitere Geschwister, ebenfalls zu erkranken, bei 2 –
6%. Insgesamt scheint die genetische Prädisposition bei MC
deutlich höher zu sein als bei der CU (31). Trotz dieser erblichen
Belastung wird erkrankten Eltern nicht von der Realisierung des
Kinderwunsches abgeraten. Wenn die CED frühzeitig erkannt und
adäquat behandelt werden, unterscheidet sich heute die Lebenserwartung
Erkrankter nicht signifikant von der Lebenserwartung Gesunder (29,
31).
↑
↑ ↑
4.4.5.3. Therapie
Vor einer geplanten Schwangerschaft sollten bereits die Artdiagnose
der CED festgelegt und Aktivität und Ausdehnung bestimmt sein.
Ebenso müssen Komplikationen wie Stenosen, Fisteln, Abszesse
und Konglomerattumoren ausgeschlossen werden, um eine in der Schwangerschaft
erforderliche chirurgische Intervention möglichst zu vermeiden.
Zu jedem Zeitpunkt der Schwangerschaft können jedoch ebenfalls
die meisten diagnostischen Verfahren (Laboruntersuchungen, Ultraschall,
Endoskopie) z. B. bei Erstmanifestation, beim Auftreten von Komplikationen
oder bei notwendig werdender Verlaufskontrolle eingesetzt werden.
Wenn möglich ist der Sigmoidoskopie der Vorzug zu geben, z.B.
bei der CU. Eine Ileo-Koloskopie sollte auf die Fälle beschränkt
bleiben, in denen der Befund Auswirkungen auf das therapeutische
Vorgehen erwarten läßt wie bei massiver Blutung oder
endoskopischer Dilatation von Stenosen.
Charakteristisch für die CED ist, daß sich Remissionsphasen
mit Phasen erhöhter entzündlicher Aktivität
abwechseln. Ziel jeder Therapie muß es daher sein,
möglichst lange Remissionsphasen zu erzielen. Auch eine Schwangerschaft
sollte möglichst in der Remissionsphase geplant werden, um
insbesondere die Rate von Früh- und Fehlgeburten zu senken.
Besteht zum Zeitpunkt der Konzeption oder in der Frühphase
der Schwangerschaft eine stabile Remission, kann sogar versucht
werden, auf Medikamente zur Rezidivprophylaxe zu verzichten. Beim
rezidivierenden Verlauf mit akuten Schüben ist jedoch auch
in der Schwangerschaft die Pharmakotherapie indiziert. Grundsätzlich
werden Schwangerschaftsverlauf und Fetus durch eine hohe Krankheitsaktivität
mehr gefährdet als durch die Standardmedikation. Aufgrund der
noch nicht ausreichend bekannten Ätiopathogenese existiert
derzeit keine kausale Therapie. Kortikosteroide
und Aminosalizylate (5-ASA) als Standardsubstanzen
hemmen unspezifisch die Entzündungsreaktionen in der Mukosa.
In besonderen klinischen Situationen ist der Einsatz von Medikamenten
mit spezifischeren Angriffspunkten (Immunsuppressiva
und Immunmodulatoren) zu erwägen. Bei den
zur Verfügung stehenden vielfältigen Therapieoptionen
werden auch bei den CED Step-up- und Step-down-Prinzip als stufenweise
eskalierende oder als möglichst frühe aggressive Therapieansätze
diskutiert. Für die Schwangerschaft gilt ausschließlich
das Step-up-Prinzip, wobei auch hier Kortikosteroide
und Aminosalizylate in üblicher Dosierung als sichere Standardsubstanzen
gelten, die gegebenenfalls von der Konzeption bis zum Wochenbett
kontinuierlich gegeben werden können. Das therapeutische Vorgehen
richtet sich einerseits nach der Lokalisation und vor allem nach
der Aktivität der Erkrankung, andererseits nach dem Krankheitsverlauf.
Die Gabe von Kortikosteroiden und Aminosalizylaten hat weder auf
den Verlauf der Schwangerschaft noch auf die Inzidenz fetaler Komplikationen
wie Spontanabort, Totgeburt, Frühgeburt und kongenitale Mißbildungen
einen nachteiligen Einfluß. Sulfasalazin (SASP), das ausschließlich
im Kolon wirkt, hemmt Transport und Metabolismus von Folsäure.
Um Neuralrohrdefekte zu vermeiden, muss daher Folsäure (2 mg/Tag)
substituiert werden.
Metronidazol gilt in höheren Dosen und bei längerer Anwendung
als potentiell teratogen und karzinogen. Aufgrund der begrenzten
Erfahrungen beim Menschen sollte ein Einsatz nur in streng indizierten
Ausnahmefällen erwogen werden.
Die meisten klinischen Erfahrungen mit einer Immunsuppression durch
Azathioprin oder dem Metaboliten 6-Mercaptopurin in der Schwangerschaft
liegen aus Transplantationsmedizin und Rheumatologie, weniger bei
den CED, vor. Bisher wurden keine negativen Auswirkungen auf Mutter
oder Kind beobachtet. Die Medikation sollte daher auch während
der Schwangerschaft nicht unterbrochen werden (1, 25, 29, 31, 34,
40). Wahrscheinlich bedeutet das Absetzen der remissionserhaltenden
Therapie ein höheres Risiko als die Fortführung der Medikation.
Da geringe Mengen von Azathioprin in die Muttermilch übertreten,
wird vom Stillen abgeraten. In die Diskussion über Vor- und
Nachteile einer derartigen Therapie sollten die Eltern entscheidend
einbezogen werden.
Auch wenn es immer wieder Mitteilungen über normal entwickelte
Feten gibt, sollten bei der limitierten Datenlage andere Therapeutika
wie Infliximab, Methotrexat, Cyclosporin, Tacrolimus etc. derzeit
generell in der Schwangerschaft nicht zum Einsatz kommen (3, 18,
29, 47).
In der Regel sprechen nahezu alle CED auch in der Schwangerschaft
auf eine konsequent durchgeführte Therapie mit Kortikosteroiden
und 5-ASA-Präparaten als Standardmedikamente an. CED stellen
keine Kontraindikation für eine Schwangerschaft dar und ebenso
besteht keine medizinische Indikation für eine Interruptio.
Nur in absoluten Notfällen, z. B. bei schwerer Blutung, bei
Perforation, bei komplettem Ileus oder therapieresistentem toxischen
Megakolon ist die Operationsindikation gegeben.
↑
↑ ↑
4.4.6. Intestinale Tumoren
Benigne wie maligne Tumoren des Dünn- und Dickdarms treffen
nur in seltenen Ausnahmefällen mit einer Schwangerschaft zusammen.
So liegen Einzelberichte von Karzinomen und Sarkomen des Jejunums,
von Karzinoiden der Appendix und des Rektums und von familiärer
adenomatöser Polyposis (FAP) des Kolons (5, 13, 25,
28, 55) vor. Die FAP weist einen genetischen Defekt auf dem Chromosom
5 auf, der mehrere Neoplasien auslösen kann, vor allem kolorektale
Karzinome und Desmoide. Bei den Desmoiden gehören
auch hormonelle Einflüsse zu den Wachstumsfaktoren. Entsprechend
wurden Desmoide bei Frauen im zeitlichen Zusammenhang mit einer
Gravidität beobachtet. Die umfassende Therapie der Desmoide
kann erst nach der Schwangerschaft erfolgen. Das Entartungsrisiko
der FAP soll durch eine Schwangerschaft beschleunigt werden (28).
Insgesamt sind die kolorektalen Karzinome, von
denen einige hundert Fälle publiziert sind, die häufigste
Tumorart während der Schwangerschaft. Dabei handelt es sich
überwiegend um Rektumkarzinome, seltener um Kolonkarzinome.
Es sind vorwiegend ältere Schwangere betroffen, aber auch bei
jüngeren muss mit der Möglichkeit gerade eines Rektumkarzinoms
gerechnet werden. Bei den bisherigen Beobachtungen wurde die Diagnose
fast immer sehr spät gestellt, da uncharakteristische Frühsymptome
häufig fehlgedeutet wurden und da Blutungen und Stuhlverhaltung
als Hämorrhoidalblutungen oder Schwangerschaftsobstipation
angesehen wurden. Da eine digital-rektale Untersuchung häufig
nicht ausreicht, sollte heute die Koloskopie integraler Bestandteil
der Untersuchung sein. Die Problematik verdeutlicht auch eine eigene
Beobachtung. Bei einer 41-jährigen Schwangeren wurde
bei unauffälligem Tastbefund die Hämorrhoidalregion als
Ursache der peranalen Blutungen angesehen. Im 7. Monat erfolgte
schließlich endoskopisch und histologisch in 13 cm Höhe
der Nachweis eines Adenokarzinoms des Rektums. Vier Wochen später
schloss sich die erfolgreiche Kombination von Schnittentbindung
und Operation an.
Die Schwangerschaft beeinflusst den Verlauf der Karzinomerkrankung
nicht, die Prognose der Schwangeren wird vom Ausbreitungsgrad
des Karzinoms bestimmt. Mit der Diagnose des Karzinoms ist unabhängig
vom Zeitpunkt der Schwangerschaft die Indikation zum chirurgischen
Eingriff gegeben, wobei auch hier die Kriterien der Tumorchirurgie
gelten. In den letzten beiden Schwangerschaftsmonaten kann die operative
Therapie mit einer Sectio verbunden werden. Bei inoperablem Tumor
wird ein Palliativeingriff durchgeführt und die Gravidität
erhalten. Da Diagnose und Therapie oft erst im fortgeschrittenen
Stadium erfolgen, ist die mütterliche Prognose entsprechend
schlecht (5, 13, 25, 55).
↑
↑ ↑
4.5. Literatur
- Alstead EM, Nelson-Piercy C. Inflammatory bowel
disease in pregnancy. Gut 2003; 52: 159-161
- Anderson AD. Constipation during pregnancy.
Incidence and methods used in its treatment in a group of Cambridgeshire
women. J Health Visitors 1984; 57: 363-366
- Armenti VT, Moritz MJ, Cardonick EH, Davison JM. Immunosuppression
in pregnancy. Drugs 2002; 62: 2361-2375
- Armitage GC. Periodontal disease and pregnancy:
discussion, conclusions, and recommendations. Ann Periodontol
2001; 6: 189-192
- Balloni L, Pugliese P, Ferrari S et al. Colon
cancer in pregnancy: report of a case and review of the literature.
Tumori 2000; 86: 95-97
- Baron TH, Ramirez B, Richter JE. Gastrointestinal
motility disorders during pregnancy. Ann Intern Med 1993; 118:
366-375
- Baron TH, Richter JE. Gastrooesophageal reflux
disease in pregnancy. Gastroenterol Clin North Am 1992; 21: 777-791
- Bassey OO. Pregnancy heartburn in Nigerians
and Caucasians with theories about aetiology based on manometric
recordings from the oesophagus and stomach. Br Obstet Gynecol
1977; 84: 439
- Blecker U, Lanciers S, Hauser B, et al. The
prevalence of Helicobacter pylori positivity in a symptom-free
population, aged 1 to 40 years. J Clin Epidemiol 1994; 47: 1095-1098
- Bonapace ES, Fisher RS. Constipation and diarrhea
in pregnancy. In: Cappell MS, ed. Pregnancy and gastrointestinal
disorders. Gastroenterol Clin North Am 1998; 27: 197-211
- Broussard CN, Richter JE. Treating gastro-oesophageal
reflux disease during pregnancy and lactation. What are the safest
therapy options? Drug Safety 1998; 19: 325-337
- Cappell MS. The safety and efficacy of gastrointestinal
endoscopy during pregnancy. In: Cappell MS, ed. Pregnancy and
gastrointestinal disorders. Gastroenterol Clin North Am 1998;
27: 37-71
- Cappell MS. Colon cancer during pregnancy.The
gastroenterologist’s perspective. In: Cappell MS, ed. Pregnancy
and gastrointestinal disorders. Gastroenterol Clin North Am 1998;
27: 225-256
- Cappell MS, Garcia A. Gastric and duodenal
ulcers during pregnancy. In: Cappell MS, ed. Pregnancy and gastrointestinal
disorders. Gastroenterol Clin North Am 1998; 27: 169-195
- Christofides ND, Ghatei MA, Bloom SR et al.
Decreased plasma motilin concentrations in pregnancy. Br Med J
1982; 285: 1453-1454
- Eslick GD, Yan P, Xia HHX, Murray H, Spurrett B, Talley
NJ. Foetal intrauterin growth restrictions with Helicobacter
pylori infection. Aliment Pharmacol Ther 2002; 16: 1677-1682
- Ezeh UO, Narayan H. Pregnancy does not offer
protection against Zollinger-Ellison syndrome. Acta Obstet Gynecol
Scand 1996; 75 : 302-304
- Francella A, Dyan A, Bodian C, Rubin P, Chapman M, Present
DH. The safety of 6-mercaptopurine for childbearing patients
with inflammatory bowel disease: a retrospective cohort study.
Gastroenterology 2003; 124: 9-17
- Fullman H, Ippoliti A. Acid peptic disease
in pregnancy, In: Rustgi VK, Cooper JN eds. Gastrointestinal and
hepatic complications in pregnancy. J Wiley and Sons, New York
1986 p. 87-103
- Gill RC, Bowes KL, Kingma YL. Effect of progesterone
on canine colonic smooth muscle. Gastroenterology 1985; 88: 1941-1947
- Guthmiller JM, Hassebroek-Johnson JR, Weenig DR, et
al. Periodontal disease in pregnancy complicated by type
1 diabetes mellitus. J Periodontol 2001; 72: 1485-1490
- Harper MA, McVeigh JE, Thompson W et al. Successful
pregnancy in association with Zollinger-Ellison syndrome. Am J
Obstet Gynecol 1995; 173: 863-864
- Hey VM, Cowley DJ, Ganguli PC et al. Gastrooesophageal
reflux in late pregnancy. Anaesthesia 1977; 32: 372
- Hinds JP, Stoney B, Wald A. Does gender or
the menstrual cycle affect colonic transit? Am J Gastroenterol
1989; 84: 123
- Huchzermeyer H. Erkrankungen des Intestinaltraktes
und des Pankreas. In: Huchzermeyer H, ed. Internistische Erkrankungen
und Schwangerschaft., Bd. 1. Stuttgart: Verlag W. Kohlhammer;
1986: 15-56
- Huchzermeyer H, Dormann AJ. Pharmakotherapie
internistischer Erkrankungen während der Schwangerschaft.
In: Friese K, Melchert F, eds. Arzneimitteltherapie in der Frauenheilkunde.
Stuttgart: Wissenschaftliche Verlagsgesellschaft; 2002: 95-171
- Huchzermeyer H, Schmidt B. Chronisch-entzündliche
Darmerkrankungen und Schwangerschaft. In: Chronisch-entzündliche
Darmerkrankungen, Hrsg. Huchzermeyer H, Dustri, München 1986:
143-150
- Kadmon M, Möslein G, Buhr HJ, Herfarth Chr.
Desmoide bei Patienten mit familiärer adenomatöser Polyposis.
Chirurg 1995; 66: 997-1005
- Kane S. Inflammatory bowel disease in pregnancy.
Gastroenterol Clin North Am 2003; 32: 323-340
- Katz PO, Castell DO. Gastrooesophageal reflux
disease during pregnancy. In: Cappell MS, ed. Pregnancy and gastrointestinal
disorders. Gastroenterol Clin North Am 1998; 27: 153-167
- Keller I, Layer P. Einfluß chronisch
entzündlicher Darmerkrankungen auf Fertilität und Schwangerschaft.
Internist 2002; 43: 1407-1411
- Kurata JH. Epidemiology : Peptic ulcer risk
factors. Semin Gastrointest Dis 1993; 4: 2-12
- Laine MA. Effect of pregnancy on periodontal
and dental health. Acta Odontol Scand 2002; 60: 257-264
- Lamah M, Scott HJ. Inflammatory bowel disease
and pregnancy. Int J Colorectal Dis 2002; 17: 216-222
- Lawson M, Kern F, Everson GT. Gastrointestinal
transit time in human pregnancy: Prolongation in the second and
third trimesters followed by post-partum normalization. Gastroenterology
1985: 89: 996
- Lo SST, Ferguson SA, Lee CP et al. Carcinoma
of stomach complicating pregnancy. J Clin Gastroenterol 1996;
23: 299-304
- Ludvigsson JF, Ludvigsson J. Coeliac disease
in the father affects the newborn. Gut 2001; 49: 169-175
- Marrero JM, Goggin PM, de Caestecker JS et al.
Determinants of pregnancy heartburn. Br J Obstet Gynecol 1992;
99: 731-734
- Mentgen CN, Moeller DD, Klotz AP. Protection
by pregnancy. Zollinger-Ellison-Syndrome. J Kans Med Soc 1974;
75: 37
- Moskovitz DN, Bodian C, Chapman ML et al. The
effect on the fetus of medications used to treat pregnant inflammatory
bowel disease patients. Am J Gastroenterol 2004; 98: 656-661
- Offenbacher S, Jared HL, O’Reilly PG et al.
Potential pathogenic mechanisms of periodontitis-associated pregnancy
complications. Ann Periodontol 1998; 3: 233-250
- Olsen KO, Juul S, Berndtsson I, Oeresland T, Laurberg
S. Ulcerative colitis: female fecundity before diagnosis,
during disease, and after surgery compared with a population sample.
Gastroenterology 2002; 122: 15-19
- Perri F, Pastore M, Leandro G et al. Helicobacter
pylori infection and growth delay in older children. Arch Dis
Child 1997; 77: 46-49
- Ravid A, Richard CS, Spencer LM et al. Pregnancy,
delivery, and pouch function after ileal pouch-anal anastomosis
for ulcerative colitis. Dis Colon Rectum 2002; 45: 1283-1288
- Saleeby RG, Rosen L, Stasik JJ et al. Hemorrhoidectomy
during pregnancy: Risk or relief? Dis Colon Rectum 1991; 34: 260
- Sponholz H. Zähne und Mundhöhle.
In: Beller FK, Kyank H, eds. Erkrankungen während der Schwangerschaft.
Stuttgart: Georg Thieme Verlag; 1990: 286-292
- Subhani JM, Hamilton MI. Review article: the
management of inflammatory bowel disease during pregnancy. Aliment
Pharmacol Ther 1998; 12: 1039-1053
- Trachter AB, Rogers AJ, Leiblum SR. Inflammatory
bowel disease in women: Impact on relationship and sexual health.
Inflamm Bowel Dis 2002; 8: 413-421
- Ueo H, Matsuoka H, Tamura S et al. Prognosis
in gastric cancer associated with pregnancy. World J Surg 1991;
15: 293-297
- Ulmsten U, Sundstroem G. Esophageal manometry
in pregnant and nonpregnant women. Am J Obstet Gynaecol 1978;
132: 260
- Van Thiel DH, Garalev JS, Stremple J. Lower
esophageal sphincter pressure in women using sequential oral contraceptives.
Gastroenterology 1976; 71: 232-234
- Van Thiel DH, Gavaler JS, Joshi SH et al. Heartburn
of pregnancy. Gastroenterology 1977; 72: 666-668
- Van Thiel DH, Gavalev JS, Stremple JF. Lower
esophageal sphincter pressure during the normal menstrual cycle.
Am J Obstet Gynecol 1979; 134: 64
- Wald A, Van Thiel DH, Hoechstetter BS et al. Effect
of pregnancy on gastrointestinal transit. Dig Dis Sci 1982; 27:
1015-1018
- Walsh C, Fazio VW. Cancer of the colon, rectum,
and anus during pregnancy. The surgeon’s perspective. In:
Cappell MS, ed. Pregnancy and gastrointestinal disorders. Gastroenterol
Clin North Am 1998; 27: 257-267
- Wejda BUJ, Soennichsen B, Huchzermeyer H, Mayr B, Cirkel
U, Dormann AJ. Successful jejunal nutrition therapy in
a pregnant patient with apallic syndrome. Clin Nutr 2003; 22:
209-211
|